高频考题
1、血液进行蛋白质电泳时,血浆比血清多出一条带,该带的实质是
A、甲胎蛋白B、C反应蛋白
C、清蛋白
D、纤维蛋白原
E、免疫球蛋白
【答案】D
【解析】在血液进行蛋白质电泳时,血浆相比血清多出一条带,这条带的实质是纤维蛋白原。
2、患者女,48岁。近一年来体重减轻,多食易饥,怕热多汗,心悸、易怒。体检:消瘦,双侧甲状腺肿大,心率110次/分。为明确诊断疾病严重程度,最有意义的检查项目是
A、血清游离T3、T4B、血清总T3、T4
C、131I摄取试验
D、血皮质醇
E、甲状腺自身抗体
【答案】A
【解析】血清游离T3、T4(FT3、FT4)是评估甲状腺功能状态的首选指标,因其不受甲状腺激素结合球蛋白(TBG)影响,能更准确反映甲状腺激素的实际水平,尤其在TBG浓度发生变化时更为敏感。
3、糖尿病合并脂代谢异常可表现为
A、高HDLB、低Lp(a)
C、高LDL
D、高ApoA
E、低VLDL
【答案】C
【解析】糖尿病合并脂代谢异常时,表现为高LDL。
糖尿病时糖化终末产物与糖化胶原蛋白交联,激活巨噬细胞和内皮细胞发生反应,损害对LDL的清除。
4、患儿,8岁,发热咳嗽1周。体检:体温39.5℃,咽部充血,下颌淋巴结肿大,压痛。血常规检查:RBC3.6×109/L;WBC18.5×109/L,淋巴细胞0.08,中性粒细胞0.86,中间细胞分类0.06。血涂片中可见中毒颗粒和空泡。根据病史,该患者最可能的诊断是
A、肺结核B、化脓性感染
C、病毒感染
D、急性淋巴细胞性白血病
E、伤寒
【答案】B
【解析】中毒颗粒常见于化脓性感染,结合患者中性粒细胞升高可辅助诊断
5、在肝脏合成时,依赖维生素K的凝血因子是
A、因子Ⅱ、Ⅶ、Ⅸ、ⅩB、因子Ⅱ、Ⅴ、Ⅶ、Ⅹ
C、因子Ⅸ、Ⅹ、XI
D、因子Ⅸ、Ⅹ、V
E、因子Ⅱ、Ⅶ、XI、ⅩⅡ
【答案】A
【解析】依赖维生素K的凝血因子包括因子Ⅱ、Ⅶ、Ⅸ、Ⅹ。
6、某黄疸患者,尿检示尿胆原强阳性,尿胆素阳性,尿胆红素阴性。根据尿三胆鉴别提示为
A、溶血性黄疸B、肝炎后胆红素血症
C、阻塞性黄胆
D、肝细胞坏死
E、新生儿生理性黄疸
【答案】A
【解析】溶血性黄疽尿胆红素阴性。
7、下列分辨率最高的电泳是
A、双向电泳B、等电聚焦电泳
C、SDS-PAGE电泳
D、非变性PAGE电泳
E、琼脂糖凝胶电泳
【答案】B
【解析】等电聚焦是利用有pH梯度的介质分离等电点不同的蛋白质的电泳技术,特别适合于分离分子量相近而等电点不同的蛋白质组分,在区带电泳中分辨率最好。
8、细胞内液的主要阳离子是
A、钙离子B、氯离子
C、镁离子
D、钠离子
E、钾离子
【答案】E
【解析】细胞内液的主要阳离子是钾离子(选项E)。
9、正常成人淋巴细胞的绝对值是
A、(2.00~7.00)×109/LB、(0.05~0.50)×109/L
C、(0~0.10)×109/L
D、(0.80~4.00)×109/L
E、(0.12~0.80)×109/L
【答案】D
【解析】正常成人淋巴细胞的绝对值范围是(0.80~4.00)×10^9/L。
10、下列不是细菌的特殊结构的是
A、质粒B、荚膜
C、芽孢
D、菌毛
E、鞭毛
【答案】A
【解析】细菌的特殊结构有荚膜、鞭毛、菌毛和芽孢。质粒并非细菌的特殊结构。
11、成人女性魏氏法测定血沉的参考范围是
A、0~5mm/hB、0~10mm/h
C、0~15mm/h
D、0~20mm/h
E、5~20mm/h
【答案】D
【解析】成人女性魏氏法测定血沉的参考范围是0~20mm/h。
12、肝硬化患者容易发生凝血障碍的主要原因是
A、血小板减少B、维生素K缺乏
C、凝血因子Ⅲ缺乏
D、某些凝血因子缺乏
E、血液中抗凝物质增加
【答案】D
【解析】肝硬化病人容易发生凝血障碍的主要原因是某些凝血因子缺乏。
肝脏负责凝血和纤溶因子、纤溶抑制因子的生成及对活性凝血因子的清除等
13、尿17-羟皮质类固醇是下列哪种激素的代谢产物
A、醛固酮B、雄酮
C、皮质醇
D、皮质酮
E、脱氢异雄酮
【答案】C
【解析】尿17-羟皮质类固醇主要反映了皮质醇的代谢情况,故正确答案为C:皮质醇。
14、某老年患者,因牙痛导致左颊部红肿,软组织变硬,局部皮肤发黑,形成瘘管并持续排脓,脓液中含有黄色颗粒,压片镜检呈菊花状,该患者可能感染的是
A、结核分枝杆菌B、白假丝酵母菌
C、衣氏放线菌
D、星形诺卡菌
E、巴西诺卡菌
【答案】C
【解析】衣氏放线菌是人类放线菌病最常见的菌种,在患者病灶和脓汁中可找到肉眼可见的黄色小颗粒,称为“硫磺颗粒”。将其压制成片,镜检可见颗粒呈菊花状,中央为革兰氏阳性的丝状体,周围为粗大的革兰氏阴性棒状体,呈放射状排列。故选C。
15、对低血糖最敏感的器官是
A、心B、肺
C、肝
D、脑
E、肾
【答案】D
【解析】血糖恒定的主要生理意义是保证中枢神经的供能。脑组织和其他组织的细胞不同,它本身没有糖原储备,脑细胞所需的能量几乎完全直接来自血糖。
16、初级胆汁酸的主要成分是
A、胆酸、鹅脱氧胆酸B、脱氧胆酸、石胆酸
C、胆酸、石胆酸
D、脱氧胆酸、鹅脱氧胆酸
E、石胆酸、鹅脱氧胆酸
【答案】A
【解析】初级胆汁酸的主要成分是胆酸和鹅脱氧胆酸。
17、免疫组化技术中最常用的制片方法是
A、塑料切片B、振动切片
C、直接推片
D、冷冻切片和石蜡切片
E、干片法
【答案】D
【解析】免疫组化技术中最常用的制片方法是冷冻切片和石蜡切片。
18、胰高血糖素的生理作用是
A、促进糖原分解,抑制糖异生B、促进脂肪分解,使酮体生成增加
C、促进胆汁和胃液分泌
D、促进胰岛素分泌,抑制降钙素分泌
E、提高心肌兴奋性
【答案】B
【解析】胰高血糖素:①激活糖原分解和糖异生的关键酶,促进肝糖原分解成血糖,促进糖异生作用。②抑制糖原合成和糖氧化的关键酶,使血糖升高。低血糖、低氨基酸可刺激胰高血糖素释放。 排除法选B
19、进行治疗药物监测(TDM)测定的标本通常采用
A、全血B、血清
C、尿液
D、唾液
E、脑脊液
【答案】B
【解析】进行治疗药物监测(TDM)时,常用的标本类型包括血浆、血清、全血、唾液、尿液和脑脊液等。多采用血清。
20、ELISA板包被后,最常用的封闭物质是
A、人白蛋白B、人球蛋白
C、牛血清白蛋白
D、牛血清球蛋白
E、鼠白蛋白
【答案】C
【解析】包被后,用1%~5%的牛血清清蛋白或5%~20%小牛血清再包被一次,消除此干扰,此过程称为封闭。
21、下列引起感染的病原微生物,其在伤口脓液中可发现黄、红、黑等色素颗粒的是
A、白喉棒状杆菌B、流感嗜血杆菌
C、星形诺卡菌
D、百日咳鲍特菌
E、布鲁菌
【答案】C
【解析】星形诺卡菌在病变组织或脓汁可见黄、红、黑等色素颗粒。
22、下列指标中的参考值无性别差异的是
A、红细胞计数B、白细胞计数
C、血红蛋白测定
D、血细胞比容
E、血沉
【答案】B
【解析】白细胞计数在不同年龄段的人群中有各自的参考区间,但这一指标在男性和女性之间并无显著差异。
23、女性,35岁,头昏,乏力,面色苍白1年,活动后心慌,气急2个月而来就诊。行血液检查结果如下,红细胞2.7×1012/L,血红蛋白60g/L,白细胞4.5×109/L,MCV70fl,MCH25pg,提示的异常指标不包括
A、红细胞B、血红蛋白
C、白细胞
D、MCV
E、MCH
【答案】C
【解析】白细胞计数:成人:(3.5~9.5)×109/L,患者白细胞4.5×109/L,正常。其他指标都减低。
24、进食被污染的海产品或腌制食品引起食物中毒,最可能的病原体是
A、沙门菌属B、副溶血弧菌
C、大肠埃希菌
D、金黄色葡萄球菌
E、志贺菌
【答案】B
【解析】进食被污染的海产品、腌制食品引起的食物中毒,最可能的病原体是副溶血弧菌(选项B)。
这种细菌嗜盐性较强,常见于近海岸的海水、海产品及盐渍食品中,是我国沿海地区最常见的食物中毒病原菌。
25、某患者眼睑水肿,尿蛋白弱阳性,尿蛋白定量为
A、900mg/LB、500mg/L
C、300mg/L
D、200mg/L
E、100mg/L
【答案】E
【解析】当尿液中蛋白质超过150mg/24h或超过100mg/L时,蛋白定性试验呈阳性,即称为蛋白尿。患者弱阳性,故选择E。
26、钙主要存在于人体
A、骨骼和牙齿B、软组织
C、细胞
D、血液
E、组织液
【答案】A
【解析】钙主要存在于人体的骨骼和牙齿中,约占人体钙总量的99%。
27、患者男,56岁。糖尿病十余年。查24小时尿蛋白210mg/L,尿总量为2800ml,随机尿比重为1.038。
A、尿蛋白阳性,高比重多尿B、尿蛋白阴性,高比重多尿
C、尿蛋白阳性,高比重正常尿量
D、尿蛋白阴性,低比重正常尿量
E、尿蛋白阳性,高比重少尿
【答案】A
【解析】随机尿,成人,比密:1.003~1.035。当尿液中蛋白质超过150mg/24h或超过100mg/L时,蛋白定性试验呈阳性,即称为蛋白尿。多尿是指24h尿总量成人超过2500ml者。因此,正确答案是A:尿蛋白阳性,高比重多尿。
28、能杀灭所有微生物及细菌芽孢的方法是
A、清洁B、消毒
C、抗菌
D、灭菌
E、杀菌
【答案】D
【解析】灭菌是去除或杀灭所有微生物的过程。
29、骨髓增生极度活跃,粒红比例>5∶1,原始粒细胞占有核细胞35%,考虑可能为
A、急性粒-单核细胞白血病B、慢性粒细胞白血病
C、急性粒细胞白血病M2a型
D、急性粒细胞白血病M2b型
E、粒细胞型类白血病反应
【答案】C
【解析】患者粒红比例>5∶1,原始粒细胞占有核细胞35%。可推断为急性粒细胞白血病M2a型。因此,正确答案是C
30、肝细胞性黄疸时,可出现的结果是
A、血中结合胆红素和未结合胆红素增高,尿胆原正常,尿胆红素阳性B、血中结合胆红素高度增加,未结合胆红素增加,尿胆原减少,尿胆红素阴性
C、血中结合胆红素高度增加,未结合胆红素稍增加,尿胆原减少,尿胆红素阳性
D、血中结合胆红素正常,未结合胆红素高度增加,尿胆原增多,尿胆红素阴性
E、血中结合胆红素增加,未结合胆红素正常,尿胆原增多,尿胆红素阴性
【答案】A
【解析】肝细胞性黄疸,尿胆红素阳性。血清总胆红素、直接胆红素及间接胆红素皆增高为肝细胞性黄疸,如病毒性肝炎等。
31、患者,男,56岁。在右肝癌切除手术中突然大出血,急需输血。该患者的血型为“A型、Rh阴性”,以下可以接受的血型是
A、AB型、Rh阴性B、B型、Rh阴性
C、B型、Rh阳性
D、O型、Rh阴性
E、O型、Rh阳性
【答案】D
【解析】患者血型为“A型、Rh阴性”。
在紧急输血情况下,应选择与患者血型相同或具有兼容性的血型。
对于Rh阴性患者,只能接受Rh阴性的血液。
因此,选项中符合要求的是O型、Rh阴性,因为O型血是万能受血者,但只能接受O型血,而不能接受其他类型的血。
所以,正确答案是D:O型、Rh阴性。
32、下列选项中红细胞绝对增多的是
A、急性大出血B、脱水血液浓缩
C、严重心肺疾病
D、严重组织损伤
E、以上均是
【答案】C
【解析】严重的心肺疾病会导致肺红细胞绝对增多
33、引起医院内交叉感染最常见的细菌是
A、肺炎杆菌B、耐药性痢疾杆菌
C、耐甲氧西林的金黄色葡萄球菌
D、乙型溶血性链球菌
E、肺炎链球菌
【答案】C
【解析】近年来,广谱抗菌药物的使用、侵入性诊疗措施日益增多,导致多重耐药细菌分离率升高,如耐甲氧西林金黄色葡萄球菌(MRSA)等。
34、不影响细胞酶释放的因素是
A、各种酶的测定波长及反应速率B、细胞内、外酶浓度的差异
C、酶的相对分子量
D、酶的组织分布
E、酶在细胞内的定位和存在形式
【答案】A
【解析】影响细胞酶释放的主要原因有:细胞内、外酶浓度的差异。酶在细胞内的定位和存在的形式。酶蛋白分子量的大小等。因此,选项A(各种酶的测定波长及反应速率)并非直接影响细胞酶释放的因素。
35、猩红热是由哪种病原体引起的
A、肺炎双球菌B、A组B型溶血性链球菌
C、肠道弯曲菌
D、金黄色葡萄球菌
E、单纯疱疹病毒
【答案】B
【解析】猩红热是由A组B型溶血性链球菌(选项B)引起的一种传染病。
36、钾离子的参考范围(mmol/L)
A、3.5~5.5B、3.5~5.3
C、3.5~6
D、3.5~10
E、4.5~5.5
【答案】A
【解析】钾离子的参考范围是3.5~5.5mmol/L。
低于3.5mmol/L为低钾血症,高于5.5mmol/L为高钾血症。
37、肿瘤特异性抗原一般表达于
A、胚胎细胞B、肿瘤细胞
C、正常细胞
D、T淋巴细胞
E、B淋巴细胞
【答案】B
【解析】肿瘤特异性抗原(TSA):TSA是肿瘤细胞所特有的新抗原,它只表达于肿瘤细胞,而不存在于正常组织。
38、有关白血病的叙述,错误的是
A、Ph染色体仅见于慢性粒细胞白血病B、急性淋巴细胞白血病无Auer小体
C、慢性粒细胞白血病中性粒细胞碱性磷酸酶活性减低
D、急性粒细胞白血病过氧化物酶染色阳性
E、红白血病幼红细胞糖原染色呈强阳性
【答案】A
【解析】Ph染色体并非仅见于慢性粒细胞白血病(CML),它还可见于约1%的急性髓系白血病(AML)、约5%的儿童急性淋巴细胞白血病(ALL)以及大约25%的成人ALL。
39、CH50法测定总补体活性报告结果的单位是
A、OD值B、U/ml
C、被测血清稀释度
D、被测血清用量(ml)
E、mg/ml
【答案】B
【解析】已建立的补体总活性测定方法,都是以红细胞的溶解为指示,以50%溶血为判断终点,测定结果以每毫升血清总补体活性单位(U/ml)表示。
40、结核分枝杆菌不易感染的部位是
A、脑B、骨
C、心
D、肺
E、肠
【答案】C
【解析】结核分枝杆菌主要通过呼吸道、消化道和受损伤的皮肤侵入易感机体,引起多种组织器官的结核病,其中以通过呼吸道引起的肺结核最多见。肺部感染可分为原发性感染和继发性感染。肺外感染可发生在脑、肾、肠及腹膜等处。排除法选C
41、某患者MCH为22pg,MCV为73fl,MCHC为250g/L,可能的诊断是
A、正常细胞性贫血B、巨幼红细胞性贫血
C、单纯小细胞性贫血
D、小细胞低色素性贫血
E、缺铁性贫血
【答案】D
【解析】小细胞低色素性贫血时,MCV<80fl,MCH<27pg,MCHC<320g/L。
题干中的患者符合小细胞低色素性贫血。
42、某患者,女,59岁,因多饮、多尿、体重减轻就诊。实验室检查:尿糖(+++),尿蛋白(-)、尿酮体(-),初步诊断为糖尿病,则随机血糖的值应为
A、2.8mmol/LB、3.91~6.11mmol/L
C、7.8mmol/L
D、8.88mmol/L
E、大于11.1mmol/L
【答案】E
【解析】糖尿病的诊断标准之一是随机血糖浓度需大于11.1mmol/L(200mg/dl)。
43、患者,女,检查血β-hCG,第一周测定浓度为1000IU/L,第二周测定为800IU/L,患者可能为
A、异位妊娠B、先兆流产
C、子宫肌瘤
D、葡萄胎
E、葡萄胎术后8周
【答案】B
【解析】先兆流产:如hCG为200ng/L以下并逐渐减低,则有流产或死胎的可能。
44、化学发光酶免疫测定中常用的标记酶是
A、转氨酶B、辣根过氧化物酶
C、邻苯二胺
D、单胺氧化酶
E、胆碱酯酶
【答案】B
【解析】化学发光酶免疫测定中常用的标记酶是辣根过氧化物酶(HRP)。
45、患者女,32岁。主诉乏力、怕热、多汗、心悸气短、食欲亢进、体重减轻、易怒等症状20天。首先应考虑做的检查是
A、血液分析B、甲状腺功能实验检查
C、雌二醇
D、HCG
E、孕酮
【答案】B
【解析】患者出现的乏力、怕热、多汗、心悸气短、食欲亢进、体重减轻、易怒等症状,提示可能患有甲状腺功能亢进(甲亢)。
因此,首先应考虑进行甲状腺功能实验检查
46、生理性蛋白尿不包括
A、功能性蛋白尿B、体位性蛋白尿
C、混合性蛋白尿
D、偶然性蛋白尿
E、妊娠性蛋白尿
【答案】C
【解析】混合性蛋白尿属于病理性蛋白尿。
47、关于皮质醇增多症的叙述,错误的是
A、向心性肥胖、多毛、紫纹B、病程长者可肌肉萎缩,骨质疏松
C、血游离皮质醇降低
D、葡萄糖耐量异常
E、血压增高
【答案】C
【解析】肾上腺皮质功能亢进(皮质醇增多)是各种原因造成肾上腺分泌过多的糖皮质激素(主要为皮质醇)所致病症总称为库欣综合征
48、少尿是指
A、每日尿量少于200mlB、每日尿量少于300ml
C、每日尿量少于400ml
D、每日尿量少于500ml
E、每日尿量少于600ml
【答案】C
【解析】24h尿量少于400ml,或每小时尿量持续小于17ml(儿童<0.8ml/kg)者为少尿。因此,正确答案是C:每日尿量少于400毫升。
49、某患者MCV为90fl,MCH为30pg,MCHC为333g/L,RDW为14.5%,其贫血类型属于
A、正常细胞不均一性贫血B、正常细胞均一性贫血
C、大细胞不均一性贫血
D、小细胞不均一性贫血
E、小细胞均一性贫血
【答案】B
【解析】MCV为90fl,MCH为30pg,MCHC为333g/L,RDW:14.5%,判断为正常细胞均一性贫血。
50、用ELISA法检测HIV抗体,最后加入底物孵育10分钟后整板不显色的原因是
A、洗板不净B、底物加错,终止液误当底物
C、酶结合物活性降低所致
D、孵育温度过高
E、以上均正确
【答案】C
【解析】在使用ELISA法检测HIV抗体时,如果整板加入底物后10分钟不显色,可能的原因是酶结合物的活性降低。
用于标记的酶:易与抗体或抗原偶联,标记后酶活性保持稳定,且不影响标记抗原与抗体的免疫反应性。
51、患者,女,30岁。缺铁性贫血治疗2周后复诊,在评估红细胞生成有效方面,较为准确的指标是
A、网织红细胞相对值B、网织红细胞绝对值
C、红细胞计数
D、网织红细胞校正值
E、网织红细胞生成指数
【答案】E
【解析】网织红细胞生成指数(RPI)是网织红细胞生成相当于正常人的倍数。在估计红细胞生成有效性方面,使用RPI较准确。
52、低钙血症常见的原因是
A、维生素D缺乏B、甲状旁腺功能亢进
C、恶性肿瘤骨转移
D、急性肾功能不全
E、酸中毒
【答案】A
【解析】低钙血症常见的原因主要是维生素D缺乏。
维生素D缺乏:常见原因有食物中维生素D缺乏,阳光照射少,消化系统疾患导致维生素D缺乏。维生素D缺乏时,钙、磷经肠道吸收少,导致血钙、血磷降低。
53、渗出液的实验室检查特点不包括
A、黏蛋白定性试验阳性B、蛋白质>30g/L
C、比密>1.018
D、积液总蛋白/血清总蛋白<0.5
E、低于血糖水平
【答案】D
【解析】渗出液的为积液总蛋白/血清总蛋白>0.5
54、流式细胞仪的前向散射光反映的是
A、细胞体积大小B、细胞颗粒多少
C、细胞活性
D、细胞的凋亡
E、细胞形状
【答案】A
【解析】流式细胞仪前向散射光(FS)(线性、对数)反映颗粒的大小。
55、某孕妇,体检时发现白细胞计数结果为WBC大于12×109/L,中性粒细胞0.6,无其他临床症状。其白细胞升高的原因可能是
A、病毒感染B、阿米巴感染
C、结核菌感染
D、细菌感染
E、生理性增高
【答案】E
【解析】中性粒细胞生理性增可见于妊娠与分娩:妊娠超过5个月白细胞可达15×109/L以上,妊娠最后1个月波动于(12~17)×109/L。
56、患者,男,50岁。胸痛发作3小时,心电图检查正常,肌酸激酶167U/L,乳酸脱氢酶381U/L,为排除心肌梗死,首选的检查是
A、运动试验B、血清AST
C、超声心动图
D、血清乳酸脱氢酶
E、血清心肌肌钙蛋白
【答案】E
【解析】cTn被认为是目前用于ACS诊断最特异的生化标志物;故选E。
57、可作为营养评价指标的是
A、α1-球蛋白B、α2-球蛋白
C、β-球蛋白
D、γ-球蛋白
E、前白蛋白
【答案】E
【解析】前清蛋白(又称前白蛋白)由肝细胞合成,测定其在血浆中的浓度对于了解蛋白质的营养不良和肝功能不全有较高的敏感性。
58、采用超速离心沉淀法对脂蛋白进行分类,最上层的脂蛋白是
A、CMB、VLDL
C、IDL
D、LDL
E、HDL
【答案】A
【解析】采用超速离心沉淀法对脂蛋白进行分类时,最上层的脂蛋白是CM(乳糜微粒),其密度最小,颗粒最大。
59、甲状旁腺功能亢进症多见
A、血钙升高,血磷降低B、血钙降低,血磷升高
C、血钙升高,血磷升高
D、血钙降低,血磷降低
E、尿钙降低,尿磷升高
【答案】A
【解析】甲状旁腺激素是维持血钙正常水平最重要的调节因素,有升高血钙、降低血磷和酸化血液等作用。因此,正确答案是:A: 血钙升高,血磷降低
60、结合胆红素与清蛋白的共价结合物是
A、未结合胆红素B、结合胆红素
C、δ胆红素
D、尿胆原
E、尿胆素
【答案】C
【解析】δ胆红素是结合胆红素与清蛋白的共价结合物。
61、缺铁性贫血红细胞直方图特点
A、峰右移,底变宽B、峰左移,底无改变
C、峰左移,底变宽
D、峰右移,底变窄
E、峰右移,底无改变
【答案】C
【解析】缺铁性贫血时,红细胞表现为小细胞低色素的特点,因此在直方图上表现为:
- 峰向左侧移动,表示红细胞平均体积(MCV)减小。
- 底部宽度增加,反映红细胞体积分布的离散程度增大。
(62~64为共用题干)
患儿男,10岁。发热一周,并有咽喉痛,近两天出现皮疹。体检:体温38.8℃,颈部及腹股沟浅表淋巴结肿大,肝肋下1cm,脾肋下1cm。入院时血常规结果为:血红蛋白122g/L,白细胞15×109/L,白细胞分类:中性粒细胞18%、淋巴细胞77%、嗜酸性粒细胞1%、单核细胞4%,未见原始细胞,血小板计数189×109/L。
62、首先考虑的疾病是
A、恶性淋巴瘤B、急性淋巴细胞白血病
C、慢性淋巴细胞白血病
D、传染性单核细胞增多症
E、上呼吸道感染
【答案】D
【解析】患者发热、咽喉痛、皮疹、淋巴结肿大、肝脾轻度肿大等,提示可能为急性感染性疾病。
血常规结果显示白细胞总数升高,以淋巴细胞比例增高为主,这与传染性单核细胞增多症的特征相符。
传染性单个核细胞增多症:白细胞数正常或增多,多为(10~30)×109/L,伴有反应性淋巴细胞增多(异型淋巴)。
63、对诊断该病有重要价值的检查是
A、骨髓检查B、细胞化学染色
C、淋巴结活检
D、蛋白电泳
E、嗜异性凝集试验
【答案】E
【解析】血清学检查 传染性单个核细胞增多症患者,血清中存在嗜异性抗体,该抗体属于IgM,能使绵羊和马的红细胞凝集,故又称嗜异性凝集素。
64、血涂片检查中,可见何种细胞增多
A、异型淋巴细胞B、淋巴瘤细胞
C、异常组织细胞
D、原始及幼稚淋巴细胞
E、涂抹细胞
【答案】A
【解析】传染性单个核细胞增多症:白细胞数正常或增多,多为(10~30)×109/L,伴有反应性淋巴细胞增多(异型淋巴)。因此,正确答案是A:异型淋巴细胞。
(65~67为共用题干)
患者,男性,15岁。因乏力,面色苍白前来就诊。血液分析结果:RBC3.14×1012/L,Hb62g/L,RDW21%。
65、该患者红细胞直方图应表现为
A、峰左移,底部增宽B、峰值不变
C、峰右移,底部增高
D、峰左移,底部不变
E、峰右移,底部不变
【答案】A
【解析】该患者因乏力、面色苍白就诊,血液分析结果:RBC3.14×1012/L(减少),Hb62g/L(减少),RDW21%(增高),符合缺铁性贫血表现,红细胞直方图峰左移,底部增宽。
66、该患者诊断应首先考虑
A、再生障碍性贫血B、溶血性贫血
C、骨髓增生异常综合征
D、缺铁性贫血
E、慢性失血性贫血
【答案】D
【解析】正确答案D缺铁性贫血的血象表现为血红蛋白、红细胞均减少,以血红蛋白减少更为明显,且当MCV降低、RDW增加时常见于缺铁性贫血,该患者面色苍白,有乏力症,状血液分析结果:RBC3.14×1012/L,Hb62g/L,RDW21%。故首先考虑为缺铁性贫血。
67、该患者贫血形态学应为
A、小细胞均一性贫血B、小细胞不均一性贫血
C、大细胞均一性贫血
D、大细胞不均一性贫血
E、正细胞正色素性贫血
【答案】B
【解析】当RDW轻度增高,红细胞主峰左移,分布在55~100fl,波峰在65fl处,为小细胞低色素和细胞不均一性图形,见于缺铁性贫血。
(68~69为共用备选答案)
A、柯萨奇病毒B、呼吸道合胞病毒
C、脊髓灰质炎病毒
D、新肠道病毒68型
E、狂犬病毒
68、感染死亡率几乎达100%的病毒
【答案】E【解析】狂犬病发病3~5d后患者转入麻痹期,最后因昏迷、呼吸循环衰竭而死亡。死亡率几乎达100%。
69、不能引起中枢神经系统感染的病毒是
【答案】B【解析】呼吸道合胞病毒:是引起婴幼儿下呼吸道疾病的最常见的病毒。
(70~73为共用题干)
某患者,男,39岁。有肺结核病史,现患持续性膀胱炎,经一般抗菌药物治疗后症状不缓解,怀疑为肾结核。
70、最常引起人类肾结核的分枝杆菌是
A、牛型分枝杆菌B、人型结核分枝杆菌
C、鸟分枝杆菌
D、龟分枝杆菌
E、海分枝杆菌
【答案】B
【解析】人类最常见的引起结核病的分枝杆菌是人型结核分枝杆菌。
71、结核分枝杆菌的培养基是
A、血培养基B、巧克力培养基
C、沙氏培养基
D、罗氏培养基
E、半固体培养基
【答案】D
【解析】固体培养法:结核分枝杆菌的分离培养对于结核病的诊断、疗效观察及抗结核药物的研究均具有重要意义。培养前针对标本应做适当的前处理,除去杂菌再接种于罗氏培养基,37℃5%~10%CO2培养,定时观察,至4~8周。此方法可准确诊断结核分枝杆菌。
72、如果是胃部结核,应选择的一线治疗药物组合是
A、异烟肼、氯霉素B、利福平、异烟肼
C、利福平、氯霉素
D、异烟肼、青霉素
E、利福平、青霉素
【答案】B
【解析】结核治疗:利福平、异烟肼、乙胺丁醇、链霉素为第一线药物。
73、结核分枝杆菌常用的染色法是
A、吉姆萨染色法B、抗酸染色
C、革兰染色
D、镀银染色法
E、墨汁染色法
【答案】B
【解析】抗酸染色法是检测结核分枝杆菌的常用方法。
(74~75为共用备选答案)
A、肝素B、类肝素
C、凝血因子稀释
D、抗磷脂抗体
E、抗血小板抗体
74、大量输血输液导致凝血功能障碍的原因是
【答案】C【解析】全血输注:全血是指血液的全部成分,包括各种血细胞及血浆中各种成分,还有抗凝剂及保存液。全血中主要是含有载氧能力的红细胞和维持渗透压的白蛋白。因此大量输血输液导致凝血功能障碍是由于凝血因子稀释。这是发生凝血问题的主要原因。
75、自身免疫病患者血清中存在哪种抗体发生血栓性疾病的危险性增高
【答案】D【解析】ACL抗体阳性或持续升高与患者的动静脉血栓形成、血小板减少、反复自发性流产及神经系统损伤为特征的多系统受累的抗磷脂综合征(APS)密切相关。
(76~78为共用题干)
患者女,31岁,有糖尿病史4年,因昏迷入院。入院时脉搏120次/分,呼吸33次/分。实验室检查结果为:GLU26.7mmol/L,Hct52%,NA+134mmol/L,K+6.4mmol/L,BUN26.4mmol/L,pH6.8,PCO210mmHg,尿酮体(+)。
76、最可能的是
A、糖尿病乳酸中毒昏迷B、呼吸性酸中毒
C、丙酮酸中毒
D、糖尿病酮症酸中毒
E、非酮症糖尿病高渗性昏迷
【答案】D
【解析】DKA实验室检查特点:血糖升高,浓度常>16mmol/L(300mg/dl),尿糖强阳性,尿酮体阳性,血清β-羟基丁酸升高,电解质变化不一,多数人在参考范围,部分人可有减低或升高。血气分析阴离子间隙(AG)升高,PCO2降低,pH可降低,血浆渗透压可有升高。其他如尿素(urea)可轻中度增高,一般属肾前性,DKA恢复后即可下降,但如肾脏本身有改变可持续升高。另外血脂,尤其是甘油三酯升高。血淀粉酶也可见升高,但多在48h后恢复。结合案例,怀疑糖尿病酮症酸中毒。
77、本病例中血细胞比容量52%是由于
A、代偿性代谢性酸中毒B、失代偿性代谢性酸中毒
C、高血糖引起高渗性利尿
D、失代偿性呼吸性酸中毒
E、呼吸性酸中毒导致的血液浓缩
【答案】C
【解析】患者的高血糖状态也必然影响渗透压与水、电解质平衡。血糖每升高5.5mmol/L,血浆渗透压也必然升高5.5mOsm/L,高渗的细胞外液引起细胞内液外移,造成细胞内液减少,细胞脱水。高糖状态还可引起渗透性利尿,带走水分和电解质引起水电平衡紊乱。因此选C。
78、血钾升高的主要原因是
A、肾脏排K+障碍B、肾小管重吸收钾增多
C、输液补充钾过多
D、细胞内外H+和K+交换导致
E、体内钾离子的再分布
【答案】D
【解析】代谢性酸中毒,血浆氢离子往细胞内转移,细胞内钾向细胞外转移,与此同时,肾小管上皮细胞泌H+增加,而泌K+减少,使钾潴留于体内。因此选D。
(79~80为共用备选答案)
A、血管升压素B、甲状旁腺激素
C、甲状腺激素
D、醛固酮
E、胰岛素
79、能升高血糖浓度的激素是
【答案】C【解析】升高血糖的激素,这类激素包括肾上腺素、胰高血糖素、皮质醇、生长激素等。此外,甲状腺素、生长抑素也能间接的影响糖的代谢,从而影响血糖水平。正确答案为C:甲状腺激素。
80、能降低血糖浓度的激素是
【答案】E【解析】参与血糖浓度调节的激素有两类:一类是降低血糖的激素,主要是胰岛素,另外胰岛素样生长因子(IGF)也能使血糖降低;一类是升高血糖的激素,这类激素包括肾上腺素、胰高血糖素、皮质醇、生长激素等。
(81~82为共用备选答案)
A、<6μmB、>9μm
C、>10μm
D、>15μm
E、>20μm
81、巨红细胞直径大于
【答案】D【解析】(1)小红细胞:直径<6μm的红细胞。正常人偶见。见于缺铁性贫血、珠蛋白生成障碍性贫血、遗传性球形红细胞增多症。
(2)大红细胞:直径>10μm的红细胞。见于巨幼细胞贫血、溶血性贫血、恶性贫血等。
(3)巨红细胞:直径>15μm的红细胞。见于叶酸及维生素B₂缺乏所致的巨幼细胞贫血。
(4)红细胞大小不均:红细胞直径相差一倍以上。见于严重的增生性贫血(如巨幼细胞贫血)。
82、大红细胞直径大于
【答案】C【解析】(1)小红细胞:直径<6μm的红细胞。正常人偶见。见于缺铁性贫血、珠蛋白生成障碍性贫血、遗传性球形红细胞增多症。
(2)大红细胞:直径>10μm的红细胞。见于巨幼细胞贫血、溶血性贫血、恶性贫血等。
(3)巨红细胞:直径>15μm的红细胞。见于叶酸及维生素B₂缺乏所致的巨幼细胞贫血。
(4)红细胞大小不均:红细胞直径相差一倍以上。见于严重的增生性贫血(如巨幼细胞贫血)。
(83~84为共用题干)
患者,女,47岁。主诉外阴瘙痒,外阴及阴道灼痛,白带增多呈豆腐渣样,有时伴尿频、尿痛。阴道分泌物检查:杆菌(-),上皮细胞(-),大量脓细胞和球菌。
83、该患者的阴道清洁度应为
A、Ⅴ度B、Ⅳ度
C、Ⅲ度
D、Ⅱ度
E、Ⅰ度
【答案】B
【解析】杆菌(-)、上皮细胞(-)、大量脓细胞和球菌。可推断阴道清洁度为IV度。
84、最可能的临床诊断是
A、细菌性阴道炎B、真菌性阴道炎
C、子宫内膜炎
D、老年性阴道炎
E、子宫颈癌
【答案】B
【解析】豆腐渣样白带:常见于真菌性阴道炎。
(85~86为共用备选答案)
A、丝球形B、网型
C、破网型
D、点粒型
E、颗粒型
85、Ⅱ型是
【答案】B【解析】根据网织红细胞发育阶段分为4型,
①I型(丝球型),红细胞充满网状物,见于骨髓。
②Ⅱ型(网型),红细胞网状物结构松散,见于骨髓。
③III型(破网型),红细胞网状物结构稀少,呈不规则枝点状排列,见于外周血。
④IV型(点粒型),红细胞内为分散的细颗粒、短丝状网状物,见于外周血。
86、Ⅲ型是
【答案】C【解析】根据网织红细胞发育阶段分为4型,
①I型(丝球型),红细胞充满网状物,见于骨髓。
②Ⅱ型(网型),红细胞网状物结构松散,见于骨髓。
③III型(破网型),红细胞网状物结构稀少,呈不规则枝点状排列,见于外周血。
④IV型(点粒型),红细胞内为分散的细颗粒、短丝状网状物,见于外周血。
(87~91为共用题干)
患者女,47岁。近3周来常有干咳、潮热、盗汗、消瘦、乏力等症状出现。X线检查:左肺上叶有边缘模糊的片状阴影。PPD试验(﹢﹢),血WBC9.2×109/L。
87、该患者最可能的诊断是
A、肺结核B、支原体肺炎
C、病毒性肺炎
D、真菌性肺炎
E、嗜酸性细胞肺炎
【答案】A
【解析】结核分枝杆菌感染机体后,可刺激机体产生抗体。目前认为抗体在抗结核免疫方面无保护作用,但高滴度的抗PPD抗体可作为结核病辅助诊断的手段。结合题干患者PPD试验(﹢﹢),考虑该患者最可能的诊断是肺结核。故本题选A。
88、患者痰涂片染色检查应采用的方法是
A、革兰染色B、瑞氏染色
C、吉姆萨染色
D、鞭毛染色
E、萋-纳染色
【答案】E
【解析】将有肺结核症状患者的痰标本,制成涂片后,作萋-纳染色镜检。故本题选E。
89、关于PPD试验,下列叙述正确的是
A、反应强弱和结核病情呈正相关B、结核病灶吸收则反应增强
C、阳性反应可确诊肺结核
D、PPD易产生非特异性反应
E、是结核菌菌体蛋白引起的超敏反应
【答案】E
【解析】结核菌素试验包括针对旧结核菌素(OT)与结核菌素纯蛋白衍生物(PPD)两种菌体蛋白。故本题选E。
90、该病引起的超敏反应是
A、Ⅰ型超敏反应B、Ⅱ型超敏反应
C、Ⅲ型超敏反应
D、Ⅳ型超敏反应
E、应激反应
【答案】D
【解析】结核菌素皮试是检测Ⅳ型超敏反应典型的例子。 故本题选D。
91、该病引起的超敏反应是下列哪种物质介导的结果
A、IgM、补体B、免疫复合物、补体
C、IgE
D、T细胞
E、IgG、IgM
【答案】D
【解析】Ⅳ型超敏反应PPD试验+,Ⅳ型超敏反应是效应T细胞与特异性抗原结合后,引起的以单个核细胞浸润和组织损伤为主要特征的炎症反应。故本题选D。
(92~94为共用题干)
患者男,72岁。腰背酸痛2月余就诊。查体:神清,贫血貌,腰背部压痛明显。实验室检查:红细胞3.2×1012/L,血红蛋白98g/L,白细胞8.2×109/L,X线检查弥漫性骨质疏松。
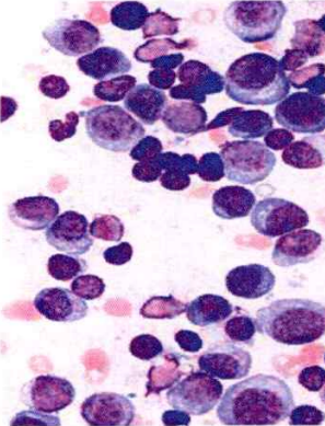
92、该患者涂片如下,最可能的诊断是
A、白血病
B、多发性骨髓瘤
C、肾形贫血
D、慢性肾小球肾炎
E、肾质疏松
【答案】B
【解析】多发性骨髓瘤:骨髓瘤细胞占有核细胞总数的10%以上,在骨髓内可呈弥漫性分布,也可呈灶性、斑片状分布,因而有时需多部位穿刺才能诊断。瘤细胞多见散在分布,也可成团分布于涂片的尾部。骨髓活检可提高检出率。骨髓瘤浆细胞的大小、形态和成熟程度有明显异常。多数体积偏大,可见多核浆细胞,偶有病例的异常浆细胞中出现包涵体。
93、多发性骨髓瘤患者,外周血红细胞缗钱状排列,主要原因是
A、血液中钙离子增加B、血膜涂片偏厚
C、严重脱水
D、纤维蛋白原增加
E、M蛋白增加
【答案】E
【解析】多发性骨髓瘤,M蛋白增加,导致红细胞缗钱状排列。
94、多发性骨髓瘤时尿中多见的蛋白是
A、清蛋白B、本周蛋白
C、黏蛋白
D、转铁蛋白
E、免疫球蛋白重链
【答案】B
【解析】多发性骨髓瘤,免疫固定电泳中,尿蛋白电泳和免疫固定电泳可检出本周蛋白和鉴别κ和λ链,与血清电泳的结果相吻合。
(95~96为共用备选答案)
A、锯齿形红细胞B、靶形红细胞
C、泪滴形红细胞
D、口形红细胞
E、椭圆形红细胞
95、制片不当容易引起红细胞形态为
【答案】A【解析】皱缩红细胞(锯齿状红细胞),边缘呈锯齿形,排列紧密,大小相等,外端较尖。可见于制片不当。因此,正确答案是A:锯齿形红细胞。
96、珠蛋白生成障碍性贫血可出现的红细胞形态改变是
【答案】B【解析】靶形红细胞见于各种低色素性贫血(如珠蛋白生成障碍性贫血、HbC病)、阻塞性黄疸、脾切除后。

