高频考题
1、外周血单个核细胞分离最常用的方法是( )。
A、Percoll分离液密度梯度离心法B、Ficoll分离液密度梯度离心法
C、吸附柱过滤法
D、贴壁黏附法
E、磁珠微球分离法
【答案】B
【解析】
Ficoll分离液法主要用于分离外周血中的单个核细胞,是一种单次差速密度梯度离心的分离法。
2、检验样本在临床实验室内部传递的过程属于
A、检验前过程B、检验中过程
C、检验后过程
D、患者准备过程
E、样本采集过程
【答案】A
【解析】检验样本在临床实验室内部传递的过程属于检验前过程。
这一阶段涵盖了从临床医生提出检验申请到样本到达实验室并开始分析前的所有活动,包括但不限于患者准备、样本采集、样本运输至实验室以及实验室内部样本的传递。
因此,正确答案是 A: 检验前过程。
3、下列细菌抗感染免疫中,哪一种以细胞免疫为主
A、链球菌B、结核分枝杆菌
C、白喉杆菌
D、葡萄球菌
E、肺炎链球菌
【答案】B
【解析】1、正确答案:B
2、答案解析:结核分枝杆菌感染以细胞免疫为主,其保护性免疫依赖于T淋巴细胞介导的免疫应答。
致敏T细胞识别抗原后释放IFN-γ等淋巴因子,激活巨噬细胞,增强其吞噬杀伤能力,从而有效控制胞内菌的增殖。
体液免疫在抗结核免疫中无显著保护作用,仅辅助诊断参考。
4、患者男,36岁。突发高热,体温达39°C,患者发病前曾到过牧区,抽取血培养明确病原菌。血培养提示:有革兰阴性小杆菌生长,在5%~10%CO2环境中培养24h小时后,在血平板上可形成小菌落。该菌尿素酶阳性,硝酸还原试验阳性,动力阴性。四环素治疗后病情稳定。则该菌可能是
A、军团菌B、鲍特菌
C、布鲁菌
D、嗜血杆菌
E、弗朗西斯菌
【答案】C
【解析】1、正确答案:C: 布鲁菌
2、答案解析:该患者有牧区接触史,表现为波浪热,血培养分离出革兰阴性小杆菌,尿素酶阳性、硝酸盐还原试验阳性、动力阴性,在5%~10% CO2环境下生长,形成小菌落,符合布鲁菌属特征。
布鲁菌为人畜共患病原体,常见于接触牲畜者,可通过皮肤黏膜、呼吸道或消化道入侵,引起反复发热、菌血症及多器官侵犯。
确诊可依赖血清学凝集试验或PCR。
治疗首选多西环素联合SMZ,疗程4~6周。
5、Ⅴ型高脂蛋白血症是指空腹血浆
A、LDL升高B、LDL及VLDL升高
C、CM及VLDL升高
D、CM升高
E、VLDL升高
【答案】C
【解析】在Ⅴ型高脂蛋白血症中,空腹血浆中的CM(乳糜微粒)和VLDL(极低密度脂蛋白)均升高。
因此,正确的选项是C:CM及VLDL升高。
6、下列关于肺炎支原体培养特性的描述,不正确的是
A、主要以二分裂繁殖B、生长需要胆固醇和葡萄糖
C、菌落能吸附豚鼠红细胞
D、能产生溶血素
E、平皿上初代菌落呈"荷包蛋"状
【答案】E
【解析】肺炎支原体在平板培养基上的初代菌落并不呈现典型的“荷包蛋”状,这一特征是其与其他微生物区分的重要依据之一。
通常情况下,初代菌落的形态可能与描述不符,需要通过多次传代培养后菌落才会呈现出更为典型的特征。
因此,正确答案是E,“平皿上初代菌落呈'荷包蛋'状”。
这一特点对于理解肺炎支原体的培养特性和区别于其他微生物具有重要意义。
7、流感嗜血杆菌最好在哪种环境中进行初次分离培养
A、厌氧环境B、微需氧环境
C、5%~10%CO2环境
D、空气中
E、50%CO2
【答案】C
【解析】流感嗜血杆菌初次分离培养时,应提供5%~10%的二氧化碳(CO₂)环境,以促进其生长。
这一条件结合了其对氧气的需求以及生长的最适pH值和温度,是确保流感嗜血杆菌成功培养的关键因素。
因此,正确答案为C:5%~10%CO₂环境。
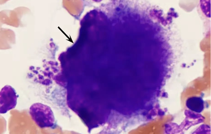
8、如图,箭头所指细胞功能是
A、产血小板
B、产抗体
C、呈递抗原
D、吞噬作用
E、繁殖分裂
【答案】A
【解析】产生血小板型巨核细胞,胞体巨大,直径40~70μm,有时可达100μm,胞核不规则,高度分叶状,核染色质呈团块状。胞质呈均匀粉红色,质内充满大小不等的紫红色颗粒或血小板。胞膜不清晰,多呈伪足状,其内侧及外侧常有血小板的堆集。
9、患儿,男,3岁。突发高热,面色苍白,四肢厥冷,意识不清,嗜睡,全身中毒症状重,无明显消化道症状。该病最可能由哪种细菌引起
A、产毒型大肠埃希菌B、中毒性痢疾
C、霍乱沙门菌
D、痢疾志贺菌
E、肺炎克雷伯菌
【答案】B
【解析】正确答案为B:中毒性痢疾。
解析:根据描述的症状——患儿出现高热、全身中毒症状重,但无明显消化道症状,结合选择项中提及的细菌类型,可以判断这符合中毒性痢疾的临床表现。
中毒性痢疾通常由志贺菌属(痢疾杆菌)引起,特别是A群志贺菌,导致严重全身感染症状,而消化道症状相对较轻或不典型。
其他选项如大肠埃希菌、霍乱沙门菌、痢疾志贺菌和肺炎克雷伯菌虽然也能引起肠道感染,但其临床表现、症状特点与描述不符。
因此,最可能的原因是中毒性痢疾。
10、关于梅毒螺旋体的生物学特性,下述哪项不正确
A、菌体有呈锐角弯曲而规则的螺旋B、两端尖直
C、运动活泼
D、能在人工培养基上生长
E、抵抗力弱,对温度和干燥敏感
【答案】D
【解析】1、正确答案:D
2、答案解析:梅毒螺旋体属于密螺旋体属,菌体细长,具有8~15个锐角弯曲且规则的螺旋,两端尖直,在暗视野显微镜下可见其活泼的运动方式,包括蜿蜒前进、沿纵轴旋转或前后移行。
该病原体不能在人工培养基上生长繁殖,需依赖活体细胞环境(如兔睾丸组织)进行培养。
其抵抗力极弱,对温度和干燥高度敏感,离体后迅速失活。
因此,选项D所述‘能在人工培养基上生长’为错误描述,是本题正确答案。
11、丙型肝炎根据临床病程可分为急性和慢性,其时间界限为
A、1个月B、3个月
C、6个月
D、12个月
E、24个月
【答案】C
【解析】丙型肝炎的临床病程划分关键在于时间界限,即6个月。
这意味着,如果患者在感染后6个月内未完全康复,其病情将被归类为慢性。
这一标准基于HCV感染后慢性化倾向高、可能伴随长期肝损害的特点。
因此,正确答案是C:6个月。
12、患儿,男,2岁。因急性腹泻3小时就诊。粪常规示:白细胞满视野,红细胞20~25/HP,巨噬细胞5~8/HP。最可能的诊断是
A、溃疡性结肠炎B、急性细菌性痢疾
C、急性阿米巴痢疾
D、上消化道出血
E、肠易激综合征
【答案】B
【解析】在粪便检查中,白细胞满视野且伴有红细胞20~25/HP以及巨噬细胞5~8/HP的现象,高度提示为急性细菌性痢疾。
这一组合特征在其他选项中并不常见或不具有特异性。
因此,正确答案是B:急性细菌性痢疾。
13、标本溶血可使下列哪些指标的测定结果偏低
A、ASTB、ALT
C、K

D、葡萄糖
E、胆红素
【答案】D
【解析】血细胞内外各种成分有梯度差,溶血后会造成红细胞计数、血细胞比容、葡萄糖等含量减低,而造成乳酸脱氢酶、血钾、AST、ALT、胆红素等含量增高。
14、某患者,贫血,轻度黄疸,肝肋下2cm。检验:血红蛋白70g/L,网织红细胞8%;血清铁14.32μmol/L(80μg/dl),ALT正常;Coombs试验(+)。诊断首先考虑为
A、自身免疫性溶血性贫血B、早期肝硬化
C、缺铁性贫血
D、黄疸型肝炎
E、肝炎合并继发性贫血
【答案】A
【解析】根据题目描述和提供的选项,本题考察的是贫血患者伴随症状和实验室检查结果的综合分析。
具体解析如下:
患者出现贫血、轻度黄疸和肝功能异常(表现为肝在肋下的扩大),同时血清铁水平降低(提示可能存在慢性溶血性贫血)。
Coombs试验阳性是自身免疫性溶血性贫血的一个重要特征。
因此,结合这些临床表现和实验室结果,最符合的诊断是自身免疫性溶血性贫血(选项A)。
其他选项的解析:
- 选项B(早期肝硬化)通常与肝脏疾病相关,但并非直接由Coombs试验阳性或贫血表现所指向的首要诊断。
- 选项C(缺铁性贫血)虽然可由铁缺乏引起贫血,但通常不会伴有黄疸和肝功能异常,且血清铁水平升高与此不符。
- 选项D(黄疸型肝炎)主要表现为黄疸、肝功能异常,但通常不会单独伴有显著的贫血和特定的Coombs试验结果。
- 选项E(肝炎合并继发性贫血)虽然可能涉及贫血,但没有特定的实验特征(如Coombs试验)指向自身免疫性因素,且肝炎本身不是诊断的关键。
综上所述,基于题目提供的信息,正确答案是A:自身免疫性溶血性贫血。
15、下列不是糖尿病患者糖代谢紊乱的是
A、糖原合成减少,分解加速B、糖异生增强
C、葡萄糖转变为6-磷酸葡萄糖
D、糖酵解及有氧氧化减弱
E、葡萄糖透过肌肉、脂肪细胞的速度减慢
【答案】C
【解析】本题考查糖尿病患者糖代谢紊乱的知识点。
正确答案是C:葡萄糖转变为6-磷酸葡萄糖,并非糖代谢紊乱现象。
解析如下:
在糖尿病患者的代谢紊乱中,主要涉及以下几个关键点:
1. 糖原合成减少:胰岛素缺乏导致糖原合成酶活性减弱,糖原合成减少。
2. 糖原分解加速:肝糖原分解增强,使得更多葡萄糖释放到血液中,加剧血糖水平增高。
3. 糖异生增强:胰岛素缺乏抑制胰岛素对糖异生过程的抑制作用,导致糖异生(从非糖物质转化为葡萄糖的过程)增强。
4. 糖酵解及有氧氧化减弱:胰岛素缺乏影响糖的代谢途径,导致糖酵解和有氧氧化过程减弱,能量生成效率降低。
5. 葡萄糖透过肌肉、脂肪细胞速度减慢:这与胰岛素的作用减弱有关,胰岛素通常促进葡萄糖向细胞内的转运,其减少导致葡萄糖利用效率下降。
综上所述,选项C(葡萄糖转变为6-磷酸葡萄糖)是正常的代谢步骤,不被视为糖尿病患者的糖代谢紊乱。
其他选项均是糖尿病患者体内糖代谢紊乱的具体表现。
16、不影响琼脂扩散法药敏试验的因素是
A、MH培养基的质量,包括其pH、厚度、干燥度等B、菌液的数量,如绝对活菌数的多少
C、培养皿的直径
D、药物纸片的质量,如含药量、直径大小、吸水量等
E、操作者的操作质量
【答案】C
【解析】影响琼脂扩散法药敏试验的因素包括培养基的质量、菌液的数量、药物纸片的质量以及操作者的操作质量。
其中,选项C(培养皿的直径)并不直接作为影响因素,因为药敏试验的标准操作中,通常不会因为培养皿直径的不同而导致显著的实验结果差异。
其他选项如培养基pH、厚度、干燥度,菌液的数量,药物纸片的含药量、直径和吸水量,以及操作者的精确度,都直接影响到实验的准确性和可靠性。
因此,培养皿的直径不是主要影响因素。
17、关于化学发光免疫测定的叙述,错误的是
A、敏感性高B、精确性与放射免疫相似
C、测定可自动化
D、可用于肿瘤标记物的检测
E、测定用时短
【答案】B
【解析】1、正确答案:B
2、答案解析:化学发光免疫分析(CLIA)是将化学发光与免疫反应结合,用于检测微量抗原或抗体的高灵敏度技术。
其敏感性高、特异性强,无放射性污染,可实现自动化检测,广泛应用于肿瘤标志物等项目。
与放射免疫相比,CLIA虽在精确性上并不相似,但因检测速度快、稳定性好,已基本取代后者。
18、血浆蛋白质生理功能一般不包括
A、营养作用B、维持胶体渗透压作用
C、运输作用
D、氧化供能作用
E、缓冲作用
【答案】D
【解析】血浆蛋白质的生理功能主要包括以下几个方面:
1. 营养作用:血浆中的蛋白质参与了体内蛋白质的合成与分解过程,对维持机体的正常代谢具有重要作用。
2. 维持胶体渗透压作用:通过调节血管内外的液体平衡,维持正常的血压和循环功能。
3. 运输作用:血浆蛋白可以作为载体,运输脂类、激素、维生素等物质到身体各个部位。
4. 缓冲作用:血浆中的缓冲系统能够帮助调节血液的pH值,保持酸碱平衡。
而氧化供能作用则不属于血浆中主要蛋白质的基本功能之一。
蛋白质的主要功能在于结构组成、催化反应、运输物质、免疫防御以及信息传递等,并非直接作为能源物质提供能量。
因此,正确答案为D: 氧化供能作用。
19、某实验室参加血钙室间质量评价活动,五个批号的测定结果分别为1.90mmol/L、2.96mmol/L、2.48mmol/L、1.50mmol/L、3.16mmol/L,相应的靶值分别为2.00mmol/L、2.96mmol/L、2.48mmol/L、1.88mmol/L、3.10mmol/L;评价标准为靶值±0.25。此次血钙室间质量评价的得分为
A、100%B、80%
C、60%
D、40%
E、90%
【答案】B
【解析】此题考查的是室间质量评价的计算方法。
具体而言,是通过计算符合评价标准的结果比例来得出最终得分。
题目给出的评价标准为靶值±0.25,即在靶值上下0.25mmol/L范围内的结果被视为可接受。
根据题干中的数据:
- 针对每个批号的测定结果与靶值进行对比,有4个结果落在了靶值±0.25的范围内,分别是:2.96mmol/L、2.48mmol/L、1.90mmol/L和3.16mmol/L对应的靶值分别是2.96mmol/L、2.48mmol/L、2.00mmol/L和3.10mmol/L。
只有1.50mmol/L未达到1.88mmol/L(对应靶值为1.88mmol/L)的标准。
-
因此,可接受结果数为4,总测定样本数为5。
- 计算得分公式为:\[得分 = \frac{可接受结果数}{总测定样本数} \times 100\%\]。
- 将数值代入公式得到:\[得分 = \frac{4}{5} \times 100\% = 80\%\]。
故此题正确答案为选项 B:80%。
20、对温抗体型溶血性贫血的诊断最重要的试验是
A、DAGTB、蛇毒因子溶血试验
C、蔗糖溶血试验
D、免疫球蛋白电泳
E、IAGT
【答案】A
【解析】温抗体型溶血性贫血的诊断中,抗人球蛋白试验(Direct Anti-globulin Test, DAGT)是最重要的试验。
DAGT不仅能够帮助确认诊断,还能提供病情程度变化和随访时的量化指标。
此试验在温抗体型自身免疫性溶血性贫血的诊断中具有关键作用,尤其在直接法下,其意义更为重要,适用于评估患者的病情状况和治疗反应。
因此,正确的选择是选项A:DAGT。
21、胰腺疾病的实验室检查项目不包括
A、血、尿淀粉酶和脂肪酶B、血清弹性蛋白酶
C、胆囊收缩素
D、胰多肽
E、甲状腺素
【答案】E
【解析】胰腺疾病的实验室检查项目主要包括:
1. 血清淀粉酶和尿淀粉酶
2. 淀粉酶同工酶
3. 胰脂肪酶
4. 胰蛋白酶
5. 粪便中氮、脂肪、胰酶等检测
6. 十二指肠内容物检查
7. 促胰酶素-促胰液素试验(P-S test)
8. 对氨基苯甲酸试验(Bz-Ty-PABA试验)和荧光素试验等
这些检查帮助评估胰腺功能和排除或诊断胰腺疾病。
甲状腺素(选项E)不属于胰腺疾病的主要实验室检查项目。
22、在含6.5%氯化钠的高盐培养基中能生长的细菌是
A、A群链球菌B、B群链球菌
C、C群链球菌
D、肺炎链球菌
E、肠球菌
【答案】E
【解析】在含6.5%氯化钠高盐的培养基中能生长的细菌是肠球菌。
这是因为肠球菌具有较高的营养需求,能够在缺氧或兼性厌氧条件下生存,其触酶试验结果为阴性,并能在含有高浓度食盐(6.5%氯化钠)的培养基中生长。
这一特性使得肠球菌能够在与其他常见细菌如链球菌相区别的实验条件下茁壮成长。
23、做骨髓检查能够确诊的疾病是
A、缺铁性贫血B、溶血性贫血
C、脾功能亢进
D、白血病
E、原发性血小板减少性紫癜
【答案】D
【解析】1、正确答案:D
2、答案解析:骨髓检查可提供肯定性诊断,当骨髓呈现特异性病理改变且临床表现典型时,可用于确诊如白血病、多发性骨髓瘤、骨髓转移癌等疾病。
其中,白血病的诊断依赖于骨髓中异常增生的原始细胞及其分化阻滞,具有决定性意义。
24、测得血糖20天内室内质量控制数据,计算平均值为5.0mmol/L,标准差为0.25mmol/L,其变异系数为
A、5%B、4%
C、3%
D、2%
E、1%
【答案】A
【解析】变异系数(简记为CV):是标准差与平均值之比,用百分数表示。CV=SD(标准差)/μ(平均数)=5%。
25、关于同工酶的叙述,正确的是
A、同工酶的结构相同B、催化功能相同,理化性质相同的酶
C、催化功能相同,理化性质不同的酶
D、同工酶是由2个以上相同亚基组成,并有不同亚型的酶
E、同工酶的免疫学性质相同
【答案】C
【解析】正确答案是 C: 催化功能相同,理化性质不同的酶。
解析要点:
- 同工酶指的是具有相同催化功能(即催化同一化学反应)但其酶蛋白结构、理化性质(如电泳迁移率、热稳定性等)存在差异的酶。
- 这些差异使得同工酶在不同环境下表现出不同的活性和行为特性,从而在生理和病理过程中发挥特定作用。
- 同工酶的区分对于疾病诊断和鉴别诊断具有重要意义,因为不同组织或疾病状态下的同工酶分布和活性可能不同。
综上所述,同工酶的核心特征在于它们虽然催化相同的功能,但因结构差异导致了理化性质的多样性,这正是本题答案选择C的原因。
26、鉴别慢性粒细胞白血病与中性粒细胞型类白血病反应首选细胞化学染色为
A、PAS反应B、过氧化物酶染色
C、中性粒细胞碱性磷酸酶染色
D、非特异性酯酶染色
E、以上都不正确
【答案】C
【解析】鉴别慢性粒细胞白血病与中性粒细胞型类白血病反应首选的细胞化学染色方法是中性粒细胞碱性磷酸酶染色(C选项)。
在类白血病反应中,中性粒细胞的碱性磷酸酶活性显著增强,表现为NAP积分值明显增高。
这一特点使得中性粒细胞碱性磷酸酶染色成为区分这两种疾病的重要工具。
27、成年男性RBC的参考范围是
A、(3.0~4.5)×109/LB、(2.5~4.5)×1012/L
C、(3.5~5.0)×1010/L
D、(4.0-5.5)×1012/L
E、(5.5~6.0)×1012/L
【答案】D
【解析】成年男性的红细胞计数(RBC)参考范围是(4.0~5.5)×10^12/L。
这一数值基于正常生理状态下的健康成年男性群体统计得出,是评估个体红细胞数量是否在正常值内的标准。
在临床实践中,这一指标有助于诊断贫血、判断是否存在血液浓缩或其他相关疾病。
28、下列关于血脂指标与冠心病关系的叙述中错误的是
A、血浆胆固醇水平升高是导致冠心病死亡率增高的最重要的危险因素之一B、HDL-C降低0.026mmol/L,冠心病发生危险性可增加2%~3%,这种关系尤以女性为明显
C、单就血浆胆固醇水平改变而言,人群胆固醇含量下降1%,则冠心病危险下降2%
D、载脂蛋白Ee4等位基因与冠心病、老年性痴呆的发生有关联
E、高甘油三酯血症与冠心病的发生无关
【答案】E
【解析】1、正确答案:E
2、答案解析:高甘油三酯血症是冠心病的独立危险因素之一,其水平升高与胰岛素抵抗、动脉粥样硬化风险增加密切相关。
目前研究证实,TG不仅是血脂异常的重要指标,亦可直接参与血管内皮功能损伤及炎症反应,故认为其与冠心病发病相关。
因此,选项E表述错误。
29、RBC2.6×1012/L,HGB72g/L,贫血程度属于
A、轻度B、中度
C、重度
D、极重度
E、无法确定
【答案】B
【解析】在给定的信息中,血红蛋白(HGB)水平为72g/L,这位于90~60g/L的中度贫血定义范围内。
因此,正确答案是:
B: 中度
30、引起硬性下疳的病原菌是
A、杜克嗜血杆菌B、埃及嗜血杆菌
C、嗜沫嗜血杆菌
D、副嗜沫嗜血杆菌
E、梅毒螺旋体
【答案】E
【解析】1、正确答案:E
2、答案解析:硬性下疳是后天性梅毒一期的典型临床表现,由梅毒螺旋体感染引起。
此期病灶处富含病原体,易通过直接接触传播,且适宜进行暗视野显微镜检查以检出活动性螺旋体。
该病原体属于密螺旋体属,具有较强侵袭力。
31、肾小管功能损伤时,尿低分子量蛋白排泄增加,以下属于尿低分子蛋白检测指标的是
A、α-MGB、RBP
C、AAG
D、β2-MG
E、THP
【答案】D
【解析】1、正确答案:D:β2-MG
2、答案解析:尿β2-微球蛋白(Uβ2-M) 是反映肾小管功能损伤的敏感指标,主要由肾小管重吸收,当小管受损时,重吸收能力下降,导致尿低分子量蛋白排泄增加。
其升高常见于急性肾小管坏死、间质性肾炎及Fanconi综合征等小管功能障碍疾病。
此外,合成增多的肾前性因素如多发性骨髓瘤、SLE等也可致尿中排泄增多,但核心机制仍与小管处理能力相关。
32、亚甲蓝作为厌氧培养指示剂,在无氧情况下呈
A、无色B、黄色
C、棕色
D、蓝色
E、绿色
【答案】A
【解析】在无氧情况下,亚甲蓝会呈现无色。
这是因为亚甲蓝在缺氧环境中无法氧化,保持其还原态而呈现无色。
33、患者男性,50岁。畏寒、发热伴头痛、咳嗽2天。查体:T39.2℃,急性热病容,结膜充血,颌下淋巴结轻度肿大,两肺呼吸音粗,肝于肋下可触及,质软,脾未及。WBC3.9×109/L,L0.7,N0.3。X线示双肺纹理增粗。最可能诊断是
A、流行性感冒B、细菌性肺炎
C、肺结核
D、真菌性肺炎
E、传染性非典型肺炎
【答案】A
【解析】患者临床表现包括畏寒、发热、头痛、咳嗽以及白细胞计数略低,淋巴细胞比例较高,这些症状和实验室检查结果与流行性感冒的特点相符。
流行性感冒通常由流感病毒引起,其主要特征为急性发热、头痛、全身肌肉疼痛及呼吸道症状。
因此,根据给出的信息,最可能的诊断是流行性感冒(选项A)。
34、甲型肝炎是由甲肝病毒引起的,在病毒分类上甲肝病毒属于哪一科的病毒
A、DNA病毒科B、微小DNA病毒科
C、微小RNA病毒科
D、小RNA病毒科
E、逆转录病毒科
【答案】D
【解析】甲型肝炎病毒(HAV)属于小RNA病毒科。
因此,正确的答案是 D: 小RNA病毒科。
(35~36为共用备选答案)
A、线粒体B、高尔基体
C、粗面内质网
D、滑面内质网
E、核糖体
35、肝细胞对胆红素的转化在哪个细胞器进行
【答案】D【解析】肝细胞对胆红素的转化在滑面内质网上进行,在胆红素-尿嘧啶核苷二磷酸葡糖醛酸转移酶的催化下,胆红素被转化为单、双葡糖醛酸结合胆红素,形成水溶性的结合胆红素。
36、三羧酸循环是在下列哪种细胞器中进行
【答案】A【解析】三羧酸循环在细胞的线粒体内进行。
(37~39为共用题干)
某患者,女,65岁。出现“三多一少”症状,空腹血糖7.22mmol/L。
37、为确诊患者疾病应做的检查是
A、OGTTB、糖化血红蛋白测定
C、糖化血清蛋白测定
D、随机血糖浓度测定
E、胰岛素测定
【答案】A
【解析】本题答案为A。
OGTT 是诊断糖尿病的重要补充试验,尤其适用于空腹血糖轻度升高或疑似糖尿病的患者。患者虽空腹血糖达诊断标准,但 OGTT 可进一步评估糖负荷后的血糖调节能力,明确是否符合糖尿病诊断(服糖后 2 小时血糖≥11.1mmol/L),是确诊的关键检查之一。
38、为了解患者近2个月的血糖水平,应进行的检查是
A、OGTTB、糖化血红蛋白测定
C、糖化血清蛋白测定
D、C肽测定
E、胰岛素测定
【答案】B
【解析】为了评估患者近2个月的血糖水平,应进行的检查是糖化血红蛋白测定(选项B)。
糖化血红蛋白(GHb)可以反映过去8周至3个月内的平均血糖浓度,因此它是一个评估长期血糖控制状况的有效指标。
相比之下,其他选项如OGTT、糖化血清蛋白测定、C肽测定和胰岛素测定主要分别用于评估糖耐量、短期血糖控制、胰岛β细胞功能和胰岛素分泌状态,而不是长期血糖平均水平。
39、为了解患者机体内源性胰岛素的产量,应进行的检查是
A、OGTTB、糖化血红蛋白测定
C、糖化血清蛋白测定
D、C肽测定
E、胰岛素测定
【答案】D
【解析】为了准确评估患者机体内源性胰岛素的产量,选择C肽测定是最合适的方法。
与胰岛素相比,C肽的生成量与之成等分子比例,且不受外源性胰岛素的影响。
此外,C肽的代谢过程主要在肝脏中完成,较少被其他途径清除,这使得C肽测定能更准确地反映β细胞生成和分泌胰岛素的能力,尤其是对于接受过胰岛素治疗的患者而言。
因此,在评估内源性胰岛素产量时,C肽测定优于直接测量胰岛素水平。
(40~43为共用备选答案)
A、单正链RNA病毒B、双链线状DNA病毒
C、双链环状DNA病毒
D、负链单股RNA病毒
E、双链RNA病毒
40、流行性感冒病毒为
【答案】D【解析】流行性感冒病毒是负链单股RNA病毒。
这类病毒的核酸结构独特,由分节段的单负股RNA组成,这种结构特性使得病毒在复制过程中容易发生基因重组,进而引发变异。
核蛋白则作为型特异性抗原,其抗原性相对稳定,变化较小。
这一解析强调了流感病毒的RNA核酸类型及其对变异的敏感性。
41、脊髓灰质炎病毒为
【答案】A【解析】脊髓灰质炎病毒属于单正链RNA病毒。
这类病毒通过粪-口途径传播,包含脊髓灰质炎病毒、柯萨奇病毒、埃可病毒等成员,其基本结构由简单病毒衣壳和单股RNA组成。
42、甲型肝炎病毒为
【答案】A【解析】甲型肝炎病毒是一种单正链RNA病毒。
43、单纯疱疹病毒为
【答案】B【解析】单纯疱疹病毒(HSV)属于疱疹病毒科,为有包膜的双链线状DNA病毒。
其基因组由共价连接的长片段(L)和短片段(S)组成,具有典型的双股线状DNA结构,在宿主细胞核内复制并形成嗜酸性核内包涵体。
该病毒可在多种哺乳动物细胞中增殖,并引起明显的细胞病变效应(CPE),表现为细胞肿胀、变圆等形态学改变。
(44~45为共用题干)
患者,男,35岁,在青藏高原工作5年,体检发现Hct明显增高。
44、血涂片检查正常操作,最可能出现的情况是
A、血膜过薄B、血膜过厚
C、血膜过长
D、血膜过窄
E、血膜分布不均
【答案】B
【解析】对于血细胞比容(Hct)增高的患者,进行血涂片检查时最可能出现的情况是血膜过厚。
这是因为血液黏度较大时,需要通过调整为使用小血滴、小角度以及慢速推片的方法来获得理想的血膜效果。
这样的操作可以确保在高黏度的血液情况下仍能获得均匀、适中的血膜,便于观察和分析血细胞形态。
45、为得到满意结果,制备血涂片时应注意
A、大血滴,大角度,快推B、小血滴,小角度,慢推
C、小血滴,大角度,慢推
D、大血滴,大角度,慢推
E、大血滴,小角度,快推
【答案】B
【解析】患者Hct增高,血液黏度大,易出现血膜过厚。血细胞比容增高、血液黏度较高时,应采用小血滴、小角度、慢推,可得满意结果。
(46~47为共用备选答案)
A、急性巨核细胞白血病B、急性单核细胞白血病
C、多毛细胞白血病
D、幼淋巴细胞白血病
E、急性粒细胞性白血病
46、特异性酯酶染色阳性的疾病是
【答案】E【解析】特异性酯酶染色阳性常见于急性粒细胞性白血病(选项E),这是因为这类白血病细胞在进行氯乙酸AS-D萘酚酯酶染色时,其原始粒细胞或早幼粒细胞会呈现阳性反应,即胞质内会出现蓝色沉淀。
相比之下,急性单核细胞白血病及急性淋巴细胞白血病时,白血病细胞均呈阴性反应。
因此,在面对此类选择题时,识别出“急性粒细胞性白血病”的特点——其白血病细胞在特定酶染色下显现出阳性反应——是解答的关键。
47、糖原染色强阳性的疾病是
【答案】A【解析】糖原染色(过碘酸-雪夫染色)在鉴别不同类型的白血病中具有重要价值。
其中,急性巨核细胞白血病的特征在于其细胞在糖原染色中呈现出强烈的阳性反应。
这一特性使得糖原染色成为诊断急性巨核细胞白血病的关键工具。
因此,当遇到需要通过糖原染色来确定白血病类型的情况时,识别出糖原染色强阳性的疾病为急性巨核细胞白血病就显得尤为重要。
(48~50为共用题干)
患者,女,40岁。3年前有黄疸肝炎史,经治疗后好转,近来乏力纳呆。体检:巩膜黄染,慢性肝病面容,肝肋下2cm,脾肋下刚及。实验室检查:HBsAg(+),HBeAg(+),抗HBc IgM(+),ALT150U/L,类风湿因子(+),抗核抗体1∶100(+)。
48、该患者诊断为
A、慢性迁延性肝炎B、慢性活动性肝炎
C、慢性重症肝炎
D、肝硬化
E、肝癌
【答案】B
【解析】患者的临床表现和实验室检查结果提示为慢性活动性肝炎。
具体解析如下:
- 临床表现:黄疸肝炎史、慢性肝病面容、肝大、脾大等,符合慢性肝炎的表现。
- 实验室检查:
- HBsAg(+)、HBeAg(+):表明存在乙型肝炎病毒的持续感染。
- 抗HBc IgM(+):提示近期有病毒复制或免疫应答。
- ALT升高:反映肝细胞损伤。
- 类风湿因子(+)、抗核抗体1:100(+):这些自身免疫指标的异常可能与慢性炎症状态相关,但主要特征是乙肝病毒感染的证据和活动性。
综上所述,患者表现出慢性肝炎的特征,尤其是乙型肝炎病毒的持续感染和活动性复制的证据(抗HBc IgM阳性),因此最合适的诊断是慢性活动性肝炎(选项B)。
其他选项如慢性迁延性肝炎、慢性重症肝炎、肝硬化或肝癌,虽然在某些情况下也可能出现类似症状,但依据当前信息,慢性活动性肝炎是最准确的诊断。
49、关于该病的发病机制,下列说法正确的是
A、HBV直接损伤是主要致病因素B、HBsAg是主要的免疫攻击位点
C、免疫复合物可引起肝外组织损伤
D、初次感染HBV的年龄越小,慢性化的概率越小
E、抗核抗体阳性时肝损害通常减轻
【答案】C
【解析】1、正确答案:C
2、答案解析:慢性活动性肝炎的主要发病机制为免疫介导性肝损伤,其中免疫复合物沉积可引发Ⅲ型超敏反应,导致肝外组织损伤。
本例患者抗核抗体及类风湿因子阳性,提示存在自身免疫参与,支持免疫复合物在多系统损伤中的作用。
HBV感染后免疫应答异常是关键致病环节,而非病毒直接损伤。
50、该病肝细胞破坏的机制是
A、CD8+细胞通过识别肝细胞膜上表达的HBcAg和HLA-Ⅰ导致细胞溶解B、CD4+细胞通过识别肝细胞膜上表达的HBcAg和HLA-Ⅰ导致细胞溶解
C、CD8+细胞通过识别肝细胞膜上表达的HBcAg和HLA-Ⅱ导致细胞溶解
D、CD8+细胞通过识别B细胞膜上表达的HBcAg和HLA-Ⅱ导致细胞溶解
E、CD4+细胞通过识别B细胞膜上表达的HBcAg和HLA-Ⅱ导致细胞溶解
【答案】A
【解析】1、正确答案:A
2、答案解析:在慢性乙型肝炎中,肝细胞破坏的主要机制是CD8+ CTL介导的细胞免疫应答。
CTL通过识别肝细胞表面呈递的HBcAg-HLA-Ⅰ复合物,释放穿孔素和颗粒酶,诱导靶细胞溶解或凋亡。
本例患者HBeAg阳性、抗HBc IgM阳性提示病毒活跃复制,伴随ALT升高及肝病面容,符合免疫介导的肝细胞损伤特征。
(51~52为共用题干)
患者,男,40岁。静脉毒瘾者,近期发热、肌痛、淋巴结肿大,血常规检查示单核细胞增多,疑为HIV感染。
51、确诊用的试验是
A、ELISA检测HIV抗原B、RT-PCR检测HIV-mRNA
C、免疫印迹法检测抗体组分
D、免疫印迹法检测抗原组分
E、重复初筛试验
【答案】C
【解析】最常用的HIV-1抗体确认实验方法是免疫印迹法(WB)和条带免疫印迹法(SIA或LIA),其中以WB法最常用。
52、初步诊断试验可用的方法是
A、病毒分离培养B、ELISA检测HIV抗体
C、ELISA检测HIV抗原
D、间接免疫荧光检测HIV抗原
E、放射免疫沉淀检测HIV抗原
【答案】B
【解析】对于怀疑HIV感染的患者,首先进行的是初步诊断试验,即ELISA检测HIV抗体。
这是因为HIV抗体检测是最常用且敏感性较高的方法,能够快速筛查出可能的HIV感染者。
在实验室操作中,通过ELISA技术可以检测到血液样本中的HIV抗体,从而判断个体是否感染了HIV病毒。
后续的确认步骤可能包括免疫印迹试验(Western blot,WB)或其他确证试验以进一步确认结果。
因此,选择B选项(ELISA检测HIV抗体)作为初步诊断方法是合理的。
(53~55为共用题干)
患者,女,35岁。发热、咽痛1天。查体:扁桃体Ⅱ度肿大,有脓点。实验室检查:血清ASO300IU/ml,10天后血清ASO1200IU/ml。诊断:急性化脓性扁桃体炎。
53、最可能感染的病原菌
A、真菌感染B、伤寒杆菌感染
C、A群β溶血性链球菌
D、葡萄球菌感染
E、结核分支杆菌感染
【答案】C
【解析】患者出现发热、咽痛症状,扁桃体Ⅱ度肿大伴有脓点,且血清ASO检测结果从300IU/ml升至1200IU/ml。
这些临床表现及实验室检查结果提示可能由A群β溶血性链球菌感染引起。
因此,最可能感染的病原菌是C选项:A群β溶血性链球菌。
链球菌感染时,机体产生的ASO抗体水平会升高,通过检测ASO水平可以辅助诊断链球菌感染。
54、血细菌培养发现A群β溶血性链球菌阳性,尿蛋白(++),尿红细胞(++)。初步诊断为链球菌感染后急性肾小球肾炎,对诊断急性肾小球肾炎最有价值的是
A、血清ASO1200IU/mlB、血清肌酐18μmol/L
C、血清BUN13.8mmol/L
D、血清补体C3水平显著下降
E、尿纤维蛋白降解产物显著增高
【答案】D
【解析】1、正确答案:D
2、答案解析:链球菌感染后急性肾小球肾炎属于Ⅲ型超敏反应,其发病机制为A群β溶血性链球菌感染后,机体产生相应抗体,与抗原形成循环免疫复合物,沉积于肾小球基底膜,激活补体系统。
免疫复合物通过经典途径激活补体,导致血清补体C3水平显著下降,此为本病活动期的重要实验室特征,对诊断具有高度提示价值。
其他选项如ASO升高仅提示近期链球菌感染,而BUN、肌酐、尿纤维蛋白降解产物等改变缺乏特异性。
55、关于该病发病机制的特点下列叙述正确的是
A、介导的抗体是IgM、IgGB、介导的抗体包括IgE
C、补体、吞噬细胞和NK细胞参与
D、肥大细胞脱颗粒
E、无中性粒细胞浸润
【答案】A
【解析】1、正确答案:A
2、答案解析:急性化脓性扁桃体炎由A族溶血性链球菌感染引发,机体产生抗链球菌抗体,与可溶性抗原形成循环免疫复合物,沉积于肾小球基底膜,激活补体经典途径,病理过程主要由IgM、IgG介导,伴有补体、吞噬细胞参与,但无IgE或肥大细胞脱颗粒参与,中性粒细胞常见浸润。
(56~58为共用备选答案)
A、禁餐、禁饮8小时以上取血B、与摄入葡萄糖时间无关,取血测定
C、与进餐时间无关,取血测定
D、定量摄入葡萄糖,饮第一口糖水时计时,2小时后血测定血糖
E、从吃第一口饭时开始计算时间,2小时取血为餐后2小时
56、空腹血糖测定的取血时间
【答案】A【解析】1、正确答案:A
2、答案解析:空腹血糖测定要求在禁食至少8小时后采血,通常为隔夜空腹状态,期间可饮水。
该指标反映基础状态下胰岛β细胞的分泌功能,是诊断糖尿病的重要依据。
检测时应采用静脉血浆葡萄糖(FVPG)水平,≥7.0mmol/L可作为诊断标准之一。
57、随机血糖测定的取血时间
【答案】C【解析】随机血糖测定不需要特定的取血时间限制,可以随时进行,与进餐时间无关。
58、餐后2小时血糖测定的取血时间是
【答案】E【解析】餐后2小时血糖测定是从开始吃第一口饭算起,经过2小时后取血检测血糖值。
(59~60为共用备选答案)
A、直接凝集B、间接凝集
C、间接凝集抑制试验
D、沉淀反应
E、荧光反应
59、肥达反应属于
【答案】A【解析】肥达反应属于直接凝集反应。
在试管凝集试验中,通过将定量抗原与一系列梯度稀释的待检血清混合,观察凝集程度来判断血清中是否存在相应抗体及其浓度,主要用于临床诊断和流行病学调查,如肥达试验、外斐反应等。
60、免疫电泳反应属于
【答案】D【解析】免疫电泳反应属于沉淀反应。
它结合了电泳分析与沉淀反应的优点,加速了沉淀反应速度,通过电场控制提高灵敏度,并能分离并检测不同带电荷的蛋白质组分。
这一技术具有高度特异性和高分辨率,适用于微量样本分析,因此广泛应用于临床诊断和科研中。
(61~65为共用备选答案)
A、原始红细胞B、原始粒细胞
C、原始单核细胞
D、原始淋巴细胞
E、早幼红细胞
61、胞体直径10~18μm,圆形或椭圆形。胞核圆形或椭圆形,约占细胞直径的2/3以上,核染色质可浓集成粗密的小块,核仁模糊或消失。胞质量多,染不透明蓝或深蓝色,仍可见瘤状突起及核周淡染区
【答案】E【解析】早幼红细胞的主要特征包括:
- 胞体直径约15~20微米,圆形或椭圆形。
- 细胞核占细胞体积的2/3以上,圆形或椭圆形,核染色质浓集呈粗密小块,核仁模糊或消失。
- 胞质丰富,染成不透明的蓝或深蓝色,可见瘤状突起及核周淡染区。
这些特征与题目描述相符,因此正确答案是E:早幼红细胞。
62、胞体直径10~18μm,圆形或椭圆形。胞核较大,圆形或椭圆形,位于中央或稍偏一侧,核染色质纤细,呈颗粒状,核膜较厚,界线清楚,核仁1~2个。胞质较少,呈淡蓝色,透明,核周界明显,无颗粒
【答案】D【解析】1、正确答案:D:原始淋巴细胞
2、答案解析:本题考查骨髓细胞形态学鉴别。
根据描述,细胞胞体直径10~18μm,圆形或椭圆形,核大且居中或略偏位,核染色质呈细颗粒状但较原粒稍粗,排列均匀,核膜厚、界限清晰,可见1~2个核仁,符合原始淋巴细胞典型特征。
胞质极少,呈淡蓝色、透明、无颗粒,核周界明显,进一步支持该诊断。
上述特点可与原始粒细胞(核染色质更细致,胞质常含嗜天青颗粒)、原始红细胞(胞质偏蓝,有颗粒感,核染色质较粗)等相鉴别。
63、胞体直径10~18μm,圆形或类椭圆形。胞核较大,约占细胞的2/3以上,核染色质呈细粒状,排列均匀,无浓集,核膜较模糊,核仁2~5个,较小,清楚。胞质量少,呈透明天蓝色,绕于核周,无颗粒
【答案】B【解析】本题考查骨髓细胞形态识别,主要区分原始红细胞、原始粒细胞、原始单核细胞、原始淋巴细胞以及早幼红细胞。
根据描述,特征为胞体直径10-18μm,圆形或类椭圆形,核染色质细粒状,排列均匀,无浓集,核膜较模糊,核仁2-5个,较小,清楚,胞质量少,呈透明天蓝色,绕于核周,无颗粒的是原始粒细胞(选项B)。
因此,正确答案是B:原始粒细胞。
64、胞体直径15~20μm,圆形或椭圆形。胞核较大,圆形,类圆形,核染色质纤细,呈疏松网状,核仁1~3个。胞质较丰富,呈灰蓝色,不透明,边缘不规则,有时可见伪足状突出
【答案】C【解析】原始单核细胞的特征为:
- 胞体直径14~25μm,圆形或椭圆形。
- 胞核较大,圆形或类圆形,核染色质纤细,呈疏松网状,核仁多数1个且大而清楚。
- 胞质较丰富,呈灰蓝色,不透明,边缘不规则,有时可见伪足状突出。
这些特征符合题干描述,故正确答案为C:原始单核细胞。
65、胞体直径15~20μm,圆形或椭圆形,边缘常有钝角状或瘤状突起。胞核圆形,居中或稍偏于一旁,约占细胞直径的4/5,核染色质呈颗粒状,核仁1~2个。胞质量少,深蓝色,不透明,在核周围常形成淡染区
【答案】A【解析】1、正确答案:A
2、答案解析:本题考查原始红细胞的形态学特征。
该细胞胞体直径15~20μm,圆形或椭圆形,边缘可见钝角状或瘤状突起;
胞核大,占细胞直径约4/5,圆形或居中/稍偏位,核染色质呈粗而密的颗粒状,可见1~2个核仁;
胞质少,呈深蓝色、不透明,并环绕核周形成淡染区,上述特点均符合原始红细胞的典型形态。
(66~67为共用题干)
患者男,26岁,头晕乏力、面色苍白10年,加重3天,巩膜黄染,实验室检查:WBC4.6×109/L,Hb85g/L,PLT200×109/L,Ret8%,总胆红素45nmol/L,间接胆红素38pmol/L,外周血涂片见到球形红细胞38%,抗人球蛋白试验阴性。
66、可能的诊断是
A、G-6-PD缺乏症B、地中海贫血
C、自身免疫性溶血性贫血
D、遗传性球形红细胞增多症
E、不稳定性血红蛋白症
【答案】D
【解析】1、正确答案:D
2、答案解析:遗传性球形红细胞增多症为红细胞膜骨架蛋白异常所致的溶血性贫血,外周血涂片可见典型球形红细胞,比例常达10%~70%,本例中占38%,支持该诊断。
抗人球蛋白试验阴性排除自身免疫性溶血,结合高网织红细胞计数、间接胆红素升高及巩膜黄染,提示血管外溶血,符合该病特征。
67、为了进一步确诊,应做的检查是
A、高铁血红蛋白试验B、Ham试验
C、红细胞渗透脆性试验
D、异丙醇沉淀试验
E、热变形试验
【答案】C
【解析】为了进一步确诊上述患者是否患有遗传性球形细胞增多症或椭圆形细胞增多症,应进行的检查是红细胞渗透脆性试验。
此试验能帮助判断红细胞在不同盐浓度溶液中的稳定性,脆性增高的结果提示可能存在红细胞膜缺陷。
因此,选择C选项:红细胞渗透脆性试验。
(68~69为共用备选答案)
A、光学法B、黏度法
C、电流法
D、透射比浊法和散射比浊法
E、以上都是
68、光学法包括
【答案】D【解析】1、正确答案:D
2、答案解析:光学法基于血浆凝固过程中纤维蛋白原向纤维蛋白转化所引起的光学性质改变,通过监测透射光强度或散射光强度的变化来判定凝固终点。
该方法主要包括透射比浊法和散射比浊法两种类型,前者检测透射光信号衰减程度,后者检测散射光信号增强情况,均属于凝固法中利用光学原理进行检测的技术。
69、目前在凝血仪上使用的凝固法有
【答案】E【解析】1、正确答案:E:以上都是
2、答案解析:目前凝血仪采用的凝固法主要基于血浆凝固过程中物理特性的动态变化,通过检测信号转换实现终点判定。
该方法主要包括三类:光学法(依据纤维蛋白形成导致的光信号改变,分为透射比浊法与散射比浊法)、黏度法(利用磁珠运动反映血液黏度变化)及电流法(依赖纤维蛋白导电性引起的电路状态改变)。
上述技术均用于自动化出凝血检测中凝固终点的精准识别。
(70~71为共用备选答案)
A、峰右移,底变宽B、峰左移,底无改变
C、峰左移,底变宽
D、峰左移,底变窄
E、峰右移,底变窄
70、缺铁性贫血红细胞直方图特点是
【答案】C【解析】1、正确答案:C
2、答案解析:缺铁性贫血属于小细胞不均一性贫血,红细胞体积普遍减小,导致直方图峰左移;
同时红细胞大小变异增大,使分布范围增宽,表现为底变宽。
71、珠蛋白生成障碍性贫血红细胞直方图特点是
【答案】B【解析】珠蛋白生成障碍性贫血导致红细胞呈小细胞均一性特征,因此在直方图上表现为红细胞峰左移,但底部分布宽度保持不变。
(72~73为共用题干)
分化好的原始单核细胞呈阳性反应,分化差的原始单核细胞呈阴性反应,幼稚及成熟单核细胞呈阳性反应,且阳性反应能被氟化钠抑制。
72、符合上述正常血细胞染色反应特征的化学染色是
A、过氧化物酶染色B、α醋酸萘酚酯酶染色
C、醋酸AS-D萘酚酯酶染色
D、α-丁酸萘酚酯酶染色
E、氯乙酸AS-D萘酚酯酶染色
【答案】D
【解析】该问题涉及到对血细胞化学染色特性的理解。
关键点在于:
- 氟化钠抑制试验:仅与酯酶染色相关,排除了选项C(氯乙酸AS-D萘酚酯酶染色)。
- 原始单核细胞:分化好的呈阳性反应,分化差的呈阴性反应,这与选项D(α-丁酸萘酚酯酶染色)的特性相符。
α-丁酸萘酚酯酶染色后,原始单核细胞呈阳性反应,而成熟单核细胞呈强阳性反应,且这种反应能够被氟化钠抑制。
因此,正确答案是D:α-丁酸萘酚酯酶染色。
73、此染色常用于鉴别恶性组织细胞病与
A、真性红细胞增多症B、急性单核细胞白血病
C、慢性淋巴细胞白血病
D、浆细胞白血病
E、红白血病
【答案】B
【解析】此染色方法(α-丁酸萘酚酯酶染色)主要用于鉴别急性单核细胞白血病与恶性组织细胞病。
其关键点在于:
1. 急性单核细胞白血病:原始单核细胞和分化差的单核细胞呈阴性反应,而分化好的原始单核细胞呈阳性反应,且这种阳性反应能被氟化钠抑制。
2. 恶性组织细胞病:异常组织细胞可能也呈阳性反应,但这种阳性反应不能被氟化钠抑制。
因此,根据题干描述,当分化好的原始单核细胞呈阳性反应、分化差的原始单核细胞呈阴性反应,且阳性反应能被氟化钠抑制时,此结果更倾向于支持急性单核细胞白血病的诊断,而不是恶性组织细胞病。
(74~77为共用题干)
患者男,45岁。因恶心,头痛36h,糖尿病昏迷2h就诊。患者意识模糊,面色潮红,呼吸急促并有烂苹果味。辅助检查:尿糖(+++),血糖20mmol/L,pH7.02,PCO216mmHg,PO2110mmHg,[HCO3-]4.5mmol/L,Na+135mmol/L,K+4.0mmol/L,Cl-100.5mmol/L。
74、该患者最可能的诊断是
A、高氯性代谢性酸中毒B、酮症酸中毒
C、乳酸酸中毒
D、苹果酸酸中毒
E、丙酮酸酸中毒
【答案】B
【解析】1、正确答案:B
2、答案解析:患者有糖尿病史,出现意识模糊、呼吸急促伴烂苹果味,结合血糖显著升高(20 mmol/L)、尿糖(+++)、血pH降低(7.02)、HCO₃⁻明显下降(4.5 mmol/L)及低PCO₂,符合高阴离子间隙代谢性酸中毒特征,最可能为酮症酸中毒。
75、该患者酸碱平衡的表现为
A、呼吸性酸中毒B、呼吸性碱中毒
C、代谢性酸中毒
D、代谢性碱中毒
E、无酸碱平衡紊乱
【答案】C
【解析】1、正确答案:C:代谢性酸中毒
2、答案解析:患者pH显著降低,HCO₃⁻明显下降,伴PCO₂代偿性降低,阴离子间隙(AG)=30mmol/L>16mmol/L,提示存在高AG型代谢性酸中毒。
结合临床表现及糖尿病病史,考虑为糖尿病酮症酸中毒所致。
76、AG值为
A、25.0mmol/LB、30.0mmol/L
C、30.5mmol/L
D、38.5mmol/L
E、39.0mmol/L
【答案】B
【解析】1、正确答案:B
2、答案解析:阴离子隙(AG)计算公式为AG = Na+ - (Cl- + HCO3-)。
根据患者电解质结果:Na+ 135 mmol/L,Cl- 100.5 mmol/L,HCO3- 4.5 mmol/L,代入公式得AG = 135 - (100.5 + 4.5) = 30.0 mmol/L。
该值显著升高,提示存在高AG型代谢性酸中毒,常见于糖尿病酮症酸中毒等有机酸蓄积状态。
77、计算代偿预估计值的公式为
A、[HCO3-]=24+(PCO2-40)×0.4±3B、[HCO3-]=24-(40-PCO2)×0.2±2.5
C、[HCO3-]=24+(40-PCO2)×0.5±2.5
D、PCO2=40-(24-[HCO3-])×1.2±2
E、PCO2=40+([HCO3-]-24)×0.9±5
【答案】D
【解析】在给定的场景中,患者表现为糖尿病昏迷,并伴有酸中毒症状。
为了评估和处理这种酸碱平衡紊乱,我们需要理解如何计算代偿性碳酸氢盐(HCO3-)和二氧化碳分压(PCO2)的预计代偿值。
首先,我们需要了解酸中毒时的代偿机制。
当存在代谢性酸中毒时,身体通过增加呼吸速率来排出多余的酸性物质(如乳酸和酮体),这导致PCO2下降。
因此,对于代谢性酸中毒的代偿,我们使用以下公式:
\[ PCO_2 = 40 - (24 - [HCO_3^-]) \times 1.2 \pm 2 \]
这里,\( [HCO_3^-] \)是实际测量的碳酸氢盐浓度,单位为mmol/L。
该公式计算了在代谢性酸中毒情况下,预期的PCO2值。
数值“40”是一个参考值,表示正常人体血液中的平均PCO2水平;
“24”是正常人血液中理想的碳酸氢盐浓度;
而“1.2”是用于调整代偿反应的系数,反映了每增加一个单位的碳酸氢盐浓度,理论上可以减少的PCO2量;
最后的“±2”表示可能的代偿误差范围。
对于糖尿病昏迷等代谢性酸中毒的情况,上述公式提供了预测PCO2值的方法,从而帮助医生评估患者的代偿情况并指导治疗决策。
在处理这类患者时,理解酸碱平衡紊乱的原理以及如何进行有效代偿是至关重要的。
(78~80为共用备选答案)
A、MbB、CK-MB
C、cTn
D、LDH
E、BNP
78、诊断心肌损伤特异性最高的酶是
【答案】C【解析】由于其他心肌标志物的心肌特异性不如cTn,故cTn被推荐用来评估围术期心脏受损程度。是诊断心肌损伤特异性最高的酶。故本题选C
79、推荐用于ACS危险分层的指标是
【答案】C【解析】1、正确答案:C:cTn
2、答案解析:在急性冠脉综合征(ACS)的危险分层中,cTn(心肌肌钙蛋白)是目前首选的心肌损伤标志物,因其具有高度的心肌特异性和敏感性,能够准确反映心肌坏死程度,广泛用于风险评估和预后判断。
尽管BNP/NT-proBNP在心肌梗死后左室功能不全及重塑的预测中具有一定价值,尤其在评估神经体液激活和心室壁应力增加方面,但其主要用于心力衰竭的危险分层。
根据现行指南与临床共识,cTn仍是ACS危险分层的核心指标。
80、心肌梗死早期诊断最好的标志物是
【答案】C【解析】心肌肌钙蛋白(cTn)是诊断MI的首选标志物。MB肌红蛋白较心肌肌钙蛋白和CK-MB诊断的灵敏度高,但骨骼肌损伤,肾脏滤过功能障碍时也升高,其测定主要用于MI的排除性诊断。
(81~82为共用题干)
患者,男,62岁。患有基础疾病,身体抵抗力较差,爱好饲养鸽子。出现发热、咳嗽、喘息伴胸痛,肺部闻及湿性啰音,临床诊断为肺炎,需做病原菌检查。
81、墨汁负染色有助于诊断的病原菌是
A、假丝酵母菌B、隐球菌
C、卡氏肺孢菌
D、组织胞浆菌
E、小孢子菌
【答案】B
【解析】1、正确答案:B
2、答案解析:墨汁负染色可清晰显示菌体周围透明荚膜,在黑色背景下呈圆形透亮区,典型特征为双壁细胞及出芽现象。
该方法主要用于检测具有厚荚膜的隐球菌,尤其适用于脑脊液或痰液中新型隐球菌的快速镜检。
因其荚膜富含多糖,普通染色不着色,故负染色技术是关键诊断手段。
82、有助于该病原菌致病性判断的试验是
A、乳胶凝集试验B、置于25℃和37℃条件下孵育观察其生长情况
C、尿素酶试验
D、糖同化试验
E、糖发酵试验
【答案】B
【解析】本题考查对肺炎病原菌致病性判断相关实验的理解。
关键在于识别选项中与新型隐球菌生长条件和特性相关的实验。
正确答案是B:置于25℃和37℃条件下孵育观察其生长情况。
这一选项符合新型隐球菌在不同温度下都能生长的特性。
通过比较不同温度下的生长情况,可以初步判断样本中是否含有这种病原菌。
其他选项解析如下:
A:乳胶凝集试验通常用于检测血液或其他体液中的特定抗体或抗原,而不是直接判断病原菌的生长。
C:尿素酶试验用于鉴别病原菌是否能分解尿素,有助于判断细菌种类,但不是用于所有肺炎病原菌的致病性判断。
D:糖同化试验和E:糖发酵试验主要用于鉴定细菌代谢类型,对肺炎病原菌的致病性判断不是直接相关。
综上所述,B选项最符合题目的要求,即有助于判断病原菌致病性的实验是“置于25℃和37℃条件下孵育观察其生长情况”。
(83~84为共用题干)
患者,女,26岁。因不规则发热4周,面部皮疹2个月就诊。体检发现面部蝶形红斑。实验室检查示轻度贫血、尿蛋白(++)。
83、该患者最有可能的诊断是
A、RAB、SLE
C、SS
D、PSS
E、PM
【答案】B
【解析】系统性红斑狼疮(SLE)是一种影响多个器官和系统的自身免疫性疾病,多见于年轻女性。
其特征包括:
1. 多系统损害:SLE可能导致皮肤(如面部蝶形红斑)、关节、肾脏、心脏、肺部等多个系统的炎症和损伤。
2. 自身抗体:患者体内会产生针对自身细胞成分(如核蛋白、DNA等)的抗体,形成免疫复合物。
3. 免疫复合物沉积:这些免疫复合物在血管壁和组织中沉积,引发炎症反应,导致组织损伤。
4. 临床表现多样:包括发热、皮疹、关节疼痛、肾功能异常、心血管问题、精神症状等。
因此,根据患者的临床表现(不规则发热、面部皮疹、尿蛋白阳性),最可能的诊断是系统性红斑狼疮(SLE)。
84、对该病最特异的检验是
A、ANA、RFB、RNP抗体、SS-A抗体
C、ASO、CRP
D、抗dsDNA抗体、抗Sm抗体
E、IgG、IgM
【答案】D
【解析】1、正确答案:D:抗dsDNA抗体、抗Sm抗体
2、答案解析:该患者临床表现包括不规则发热、面部蝶形红斑、蛋白尿及轻度贫血,高度提示系统性红斑狼疮(SLE)。
在自身抗体检测中,抗dsDNA抗体是SLE的特征性标志抗体,其阳性不仅具有高度特异性,且与疾病活动性相关,常用于诊断及病情监测。
而抗Sm抗体虽阳性率较低(30%~40%),但几乎仅见于SLE患者,被视为SLE的血清学标志抗体,特异性接近100%,对SLE的早期或不典型病例具有重要诊断价值。
因此,二者联合检测对SLE的确诊最具特异性。

