高频考题
1、高压电缆一般是
A、单芯B、双芯
C、三芯
D、四芯
E、五芯
【答案】C
【解析】
高压电缆一般三芯,可供双焦点X线管使用,三极双焦点X线管需要四芯高压电缆。
2、如图所示,经肝门静脉合成处的横断层CT强化扫描图像,图中2所示结构为( )。

A、肠系膜上静脉
B、下腔静脉
C、肝固有动脉
D、脾静脉
E、胆总管
【答案】A
【解析】
经肝门静脉合成处的横断层CT强化扫描图像各序号表示的结构:1.胰颈;2.肠系膜上静脉;3.脾静脉;4.胰体;5.肠系膜上动脉;6胃十二指肠动脉;7.下腔静脉;8.十二指肠;9.胆总管;10.肝固有动脉;11.肝右叶;12.胆囊。
3、经环状软骨和声门下腔的横断层,甲状腺后外侧有
A、喉B、气管
C、食管
D、喉返神经
E、迷走神经
【答案】E
【解析】本题答案选:E:迷走神经;
解析:在经过环状软骨和声门下腔的横断层中,甲状腺后外侧主要与颈部重要结构相邻。
迷走神经在此位置位于甲状腺的后外侧,因此正确答案是E选项。
其他选项如A(喉)、B(气管)、C(食管)、D(喉返神经)虽然与甲状腺有关系,但它们的位置通常是在甲状腺的前部或内部,而非后外侧。
4、双侧髋关节CT横断扫描经股骨头中份及股骨头韧带横断层面,正常髋臼由耻骨体和坐骨体组成,两骨块的形状均是
A、牛角形B、半月形
C、三角形
D、“C”形
E、楔形
【答案】C
【解析】髋臼由两个三角形骨块组成,前为耻骨体,其伸向前内的突起为耻骨上支;后为坐骨体,其伸向后内的突起为坐骨棘。两三角形骨块借一薄的骨板相连,构成凹向外侧的髋臼窝,与股骨头相关节。
5、上消化道出血时应做的DSA检查是
A、腹腔动脉和肠系膜上动脉造影B、腹腔动脉和肠系膜下动脉造影
C、肠系膜上动脉和肠系膜下动脉造影
D、膈动脉和肠系膜上动脉造影
E、膈动脉和肠系膜下动脉造影
【答案】A
【解析】上消化道出血的DSA检查应选择腹腔动脉和肠系膜上动脉造影。
因上消化道包括十二指肠,而十二指肠水平部位于第3腰椎前方,走行于肠系膜上动脉与腹主动脉之间,其血供主要来自腹腔干分支(如胃十二指肠动脉)及肠系膜上动脉分支。
当出血部位不明确时,需同时评估上述两支动脉以定位出血来源。
故常规行腹腔动脉与肠系膜上动脉造影,确保全面显示可能的出血血管。
6、经第5骶椎上份的横断层CT图像,如图所示,图注8所标注的结构是
A、乙状结肠
B、子宫
C、卵巢
D、膀胱
E、回肠
【答案】D
【解析】根据经第5骶椎上份的横断层CT图像,图注8所标注的结构是膀胱。
7、经第3骶椎横断层骶后孔内可见
A、第1骶神经B、第2骶神经
C、第3骶神经
D、第4骶神经
E、第5骶神经
【答案】C
【解析】经第3骶椎横断层,小骨盆后壁由第3骶椎构成,骶后孔内可见脂肪组织及穿行其中的第3骶神经。
该平面骶翼缩小,与椎体围成的孔道容纳相应节段神经根走行,第3骶神经由此出盆。
8、经女性第3骶椎下份的横断层,子宫底位于断面的
A、右前部B、左前部
C、右后部
D、左后部
E、中央
【答案】E
【解析】子宫的解剖位置:子宫位于盆腔中央,介于膀胱与直肠之间,其长轴与骨盆轴一致。
第 3 骶椎下份横断层的解剖特点:该层面处于盆腔中部,子宫底在此层面尚未明显偏向左右侧,仍保持中央定位。
周围结构关系:此层面中,膀胱位于子宫前方,直肠位于后方,子宫底夹于两者之间,位置居中,无明显前后或左右偏移。
9、下列组合,错误的是
A、髋臼—股骨头B、闭孔—坐骨、耻骨
C、髋关节—髋臼、股骨头
D、骶髂关节—髂骨耳状面、骶骨
E、耻骨联合—左、右耻骨联合面
【答案】A
【解析】髋臼由耻骨体与坐骨体借薄骨板连接构成,深窝为髋臼窝,与股骨头形成髋关节。
选项A中‘髋臼—股骨头’为关节对应关系,而非构成组合,故错误。
10、如图1所示,经喉中间腔的横断层CT,图注12所标注的结构是构是( )。
图1
A、淋巴结
图1B、胸锁乳突肌
C、颈内静脉
D、中、后斜角肌
E、颈总动脉
【答案】B
【解析】
1:喉中间腔;2:杓状软骨;3:甲状软骨;4:胸骨舌骨肌;5:颈总动脉;6:第6颈神经;7:中、后斜角肌;8:斜方肌;9:脊髓;10:颈外静脉;12:胸锁乳突肌;13:颈内静脉;14:颈长肌;15:第6颈椎体;16:颈阔肌。
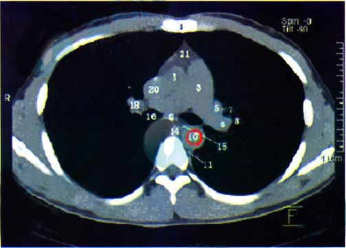
11、如图5所示,在经肺动脉杈的横断层面上,图注10所标注的解剖结构是( )。
图5
A、肺动脉干
图5B、食管
C、右支气管
D、奇静脉
E、主动脉
【答案】E
【解析】
1:胸骨体;2:升主动脉;3:肺动脉干;5:左上肺静脉;6:左肺动脉;7:前段支气管;8:尖后段支气管;9:气管支气管下淋巴结;10:胸主动脉;11:副半奇静脉;14:奇静脉;15:食管;16:右主支气管;18:右肺上叶动脉;20:上腔静脉。
12、关于射频系统功能的描述,错误的是( )
A、感应FID信号B、层面选择和空间定位
C、RF发射并使宏观磁矩发生各种角度的翻转
D、接受RF信号并预置放大
E、RF激励
【答案】B
【解析】
射频系统是MRI系统中实施射频激励并接收和处理MR信号的功能单元。射频系统分为发射单元和接收单元两部分,射频系统功能包括RF激励、感应FID信号、RF发射并使宏观磁矩发生各种角度的翻转、接受RF信号并预置放大。补充:选项 B:错误。层面选择和空间定位主要由梯度系统完成。梯度系统通过产生梯度磁场,实现对不同层面、不同空间位置的信号进行编码,从而确定信号的空间来源。射频系统不直接参与层面选择和空间定位。
13、常见的前纵隔肿瘤是( )。
A、胸腺瘤B、神经源性肿瘤
C、肉瘤
D、平滑肌瘤
E、畸胎瘤
【答案】A
【解析】前纵隔肿瘤包括多种类型,但其中最常见的是胸腺瘤。
胸腺瘤是指起源于胸腺的肿瘤,通常对周围组织的影响较小,可以是良性的,也可能是恶性的。
胸腺瘤是前纵隔最常见的肿瘤类型,约占所有前纵隔肿瘤的50%至70%。
-神经源性肿瘤、肉瘤、平滑肌瘤和畸胎瘤虽然也是纵隔肿瘤中的一部分,但它们在前纵隔的发病率相对较低,不是最常出现的类型。
14、CT检查中,由患者产生的伪影是( )
A、线束硬化伪影B、环状伪影
C、运动伪影
D、针芒状伪影
E、同心圆伪影
【答案】C
【解析】
运动伪影常由于患者的原因,某些自主或不自主器官运动所造成。生理运动伪影如心脏大血管搏动、呼吸运动、血流以及脑脊液波动等引起的伪影成为降低图像质量最常见的原因。
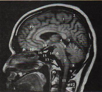
15、如图所示,颅脑正中矢状面左面观T1WI扫描图像,图注11标注的是( )。

A、蝶窦
B、小脑扁桃体
C、脊髓
D、蛛网膜下隙
E、寰椎
【答案】C
【解析】
颅脑正中矢状面左面观T1WI:1.中央旁沟;2.大脑镰;3.大脑大静脉;4.松果体;5.四叠体;6.脑桥;7.延髓;8.小脑扁桃体;9.小脑延髓池;10.寰椎;11.脊髓;12.蛛网膜下隙;13.斜坡;14.基底动脉;15.蝶窦;16.垂体;17.直回;18.前连合;19.额上回。
16、乳腺摄影控制台不包括( )。
A、显示屏B、高压发生器
C、曝光手柄
D、开关电源
E、设置按钮
【答案】B
【解析】乳腺摄影控制台主要用于操作参数设置与曝光控制,其组成部分包括显示屏、设置按钮、曝光手柄及开关电源等,用于实现X线摄影条件的设定和启动。
而高压发生器属于X线发生装置的核心部件,通常集成于机柜或高压发生器舱内,不直接位于控制台,故不属于控制台组成部分。
17、在X线照片中主要的斑点是( )。
A、统计斑点B、量子斑点
C、增感屏斑点
D、卤化银颗粒
E、胶片粒状性斑点
【答案】B
【解析】X线照片中主要的斑点为量子斑点,又称量子噪声,由X线光子的统计涨落所致,在影像中占主导地位,贡献约92%的斑点成分。
18、关于MRI设备梯度放大器的叙述,不正确的是( )。
A、产生梯度电流B、可重复性好
C、梯度系统的功率输出级
D、功率小、开关时间长
E、输出电流精确
【答案】D
【解析】
梯度放大器是整个梯度系统的功率输出级,它必须具有功率大、开关时间短、输出电流精确、可重复性好、可持续工作时间长、散热系统优良可靠等特点。
19、不适用于人体MRI成像装置的磁场强度为( )。
A、0.2TB、0.5T
C、1.0T
D、2.0T
E、10.0T
【答案】E
20、CT常用的输入设备是( )。
A、监视器B、键盘
C、熔带
D、光盘
E、硬盘
【答案】B
【解析】在CT设备操作中,键盘是用于输入扫描参数、患者信息及控制指令的常用人机交互输入设备,属于标准操作终端组成部分。
21、为保持CT机正常工作,通常CT机房相对湿度应控制在( )。
A、10%~20%B、25%~35%
C、45%~60%
D、70%~80%
E、大于90%
【答案】C
【解析】为保持CT机正常工作,通常CT机房温度:18~22℃,湿度:45%~60%。因此,答案选C。
22、CT与X线照片比较,X线照片不易显示的病变是( )
A、软组织内出血B、异物
C、骨肿瘤
D、骨折
E、骨结核
【答案】A
【解析】CT对软组织分辨率显著高于X线平片,能清晰显示软组织内出血的密度改变;
而X线平片因软组织间对比度差,无法有效分辨出血区域,故软组织内出血在X线照片上不易显示。
23、关于质量管理的组合,错误的是( )。
A、质量——决定产品适用性的性质B、影像质量——对诊断的价值
C、质量管理——制定质量计划,并为完成计划所进行的一切活动
D、质量——质量保证(QA)
E、管理——制定计划完成计划所进行的一切活动
【答案】D
【解析】答案是 D。以下是对各选项的分析:
A 选项:质量是指产品或服务满足规定需要和潜在需要的特征和特性的总和,也就是决定产品适用性的性质,该选项正确。
B 选项:影像质量对于医疗诊断有着关键的价值,其好坏直接影响到医生对病情的判断,该选项正确。
C 选项:质量管理就是制定质量计划,并为完成计划所进行的一切活动,包括质量策划、质量控制、质量保证和质量改进等,该选项正确。
D 选项:质量是一个更广泛的概念,质量保证(QA)只是质量管理的一部分,是为了提供信任表明实体能够满足质量要求而进行的有计划、有系统的活动,不能简单地说质量就是质量保证,该选项错误。
E 选项:管理就是制定计划以及为完成计划所进行的一切活动,包括组织、协调、控制等一系列过程,该选项正确。
24、DICOM标准的英文全称是( )。
A、Medicine Digital Imaging and CommunicationsB、Digital Imaging and Communication of Medicine
C、Digital Imaging and Communications in Medicine
D、Digital Image and Communications in Medicine
E、Digital Image and Communications of Medicine
【答案】C
【解析】
DICOM的英文全称是Digital Imaging and Communications in Medicine,中文直译为“医学数字成像与通信”。
25、院级大型PACS是由( )扩展而来的。
A、放射科PACSB、病理科PACS
C、传染科PACS
D、各科室PACS
E、药学科PACS
【答案】D
【解析】院级大型PACS系统是在各科室PACS基础上整合扩展而成,旨在实现全院范围内多影像学科(如放射科、超声科、核医学科、病理科、内镜中心等)的影像数据统一管理与共享。
通过集成不同科室的影像采集设备和工作流程,构建全院级影像存储与传输平台,支持跨科室调阅、临床协同诊疗及无胶片化管理,满足医院信息化建设的整体需求。
26、下图是经喉咽和会厌的横断层CT图像,图中,序号6代表( )。

A、下颌下腺
B、舌骨大角
C、椎动脉
D、第4颈椎体
E、头长肌
【答案】C
【解析】
经喉咽和会厌的横断层CT图像:1.颏舌肌;2.下颌下腺;3.喉咽和会厌;4.舌骨大角;5.胸锁乳突肌;6.椎动脉;7.第4颈椎体;8.头长肌;9.颈内动、静脉;10.下颌体。
(27~28为共用备选答案)
A、增感屏B、影像板
C、碘化铯
D、非晶硒
E、非晶硅
27、计算机X线摄影使用的辐射转换器是( )。
【答案】B【解析】
影像板(IP)辐射转换器是计算机X线使用的辐射转换器。
28、直接数字化摄影(DR)应用的转换介质是( )。
【答案】D【解析】DR系统中,非晶硒作为直接转换型探测器的核心材料,将X线光子直接转化为电信号,实现高效成像。
(29~30为共用备选答案)
A、感光作用B、穿透作用
C、电离作用
D、着色作用
E、荧光作用
29、X线成像的基础
【答案】B【解析】不论采用何种技术路线(数字或是模拟),X射线成像的实质都是利用X射线穿透人体的能力来获取人体内部结构信息,并且以可见光的方式表达出来,从而达到疾病检查与诊断的目的。
30、X线使胶片感光是
【答案】A【解析】X线的感光作用是指它能与胶片乳剂发生化学反应,使胶片感光。这是X线用于摄影成像的关键原理。
(31~32为共用备选答案)
A、设备原因B、患者因素
C、扫描参数不当
D、算法原因
E、金属饰物
31、CT图像运动伪影的产生是
【答案】B【解析】运动伪影主要由患者自身的自主或不自主运动引起,如呼吸、心跳或体位移动,属于患者因素所致的常见伪影类型。
32、CT图像同心圆状伪影的产生是
【答案】A【解析】设备原因可引发CT图像中出现环状、条状及同心圆状伪影,主要由于探测器故障、数据采集系统异常或传输链路不稳定所致。
此类伪影与扫描物体本身无关,属系统性技术问题。
(33~35为共用题干)
关于CT的基本原理。
33、下列是CT成像物理源的是
A、γ射线B、X线
C、β射线
D、中子射线
E、紫外线
【答案】B
【解析】CT成像的物理源是X线。
X线检查设备如CT、DSA、CR、DR等,通过利用人体组织对X线的不同吸收特性来生成影像。
随着现代医学的发展,X线检查的使用频率提高,患者接受的辐射剂量也有所增加,因此在进行这些检查时需严格控制辐射剂量,以减少对患者的潜在危害。
34、CT成像基础主要是来源于
A、组织的密度差B、组织的均匀性
C、计算机运行速度
D、计算机存储容量
E、像素的大小
【答案】A
【解析】CT成像的基础来源于组织之间的密度差异。
在进行CT扫描时,不同组织对X射线的吸收程度不同,这种吸收差异通过计算机处理后转化为图像信息,从而形成CT影像。
因此,选项A“组织的密度差”是CT成像的基础原理。
其他选项如组织的均匀性、计算机运行速度、计算机存储容量以及像素的大小虽然对CT成像过程有影响,但都不是CT成像的根本原理。
35、CT图像中的最小单位是
A、HUB、μm
C、nm
D、像素
E、体素
【答案】D
【解析】CT图像的基本特征可用两个词概括,即“数字化”和“体积信息”,数字化图像的最小单位为像素。因此符合题干的选D。
(36~38为共用备选答案)
A、ADCB、DAC
C、矩阵
D、像素值
E、信噪比(SNR)
36、数模转换
【答案】B【解析】数模转换是指将数字信号转换为模拟信号的过程。
在MRI设备的梯度系统中,这一过程由数模转换器(D/A)完成。
当GCU发出梯度电流数值后,D/A将其转换为模拟控制电压,用于驱动梯度线圈产生所需的梯度磁场。
因此,正确答案是B: DAC。
37、表示图像为一个整数值的二维数组
【答案】C【解析】数字图像由像素阵列构成,每个像素的灰度级以整数表示,形成一个整数值的二维数组,该结构称为图像矩阵。
矩阵的行与列决定图像的空间分辨率,像素数目越多,空间分辨率越高,细节显示越清晰。
因此本题选C。
38、表示图像有用信号强度与噪声强度之比
【答案】E【解析】信噪比(SNR)是信号与噪声之比的简称。因此符合题干的选E。
(39~40为共用备选答案)
A、大脑半球顶部B、大脑半球中部
C、大脑纵裂
D、大脑镰
E、胼胝体头部
39、颅腔内可见左、右大脑半球顶部的层面是经()的层面
【答案】A【解析】本题答案选A:大脑半球顶部。
解析:题目要求找出能够看到大脑半球顶部的层面。
在选项中,A选项"大脑半球顶部"是最直接描述这一层面的选项。
其他选项如B、C、D、E分别涉及大脑半球中部、大脑纵裂、大脑镰和胼胝体头部等,这些层面可能不会直接展示大脑半球的顶部结构。
因此,正确答案为A,即经过大脑半球顶部的层面。
40、两大脑半球间是
【答案】C【解析】在解剖学中,两大脑半球间的结构是大脑纵裂(选项C)。
大脑纵裂将端脑分为左右两侧的大脑半球,并在其底部形成横行的纤维束,即胼胝体头部(选项E),这一结构负责连接并协调两侧大脑半球的功能。
(41~42为共用备选答案)
A、螺旋扫描B、非螺旋扫描
C、多层螺旋扫描
D、薄层螺旋扫描
E、重叠扫描
41、层厚等于准直器宽度的扫描方式是( )。
【答案】B【解析】在非螺旋扫描模式下,层厚由准直器宽度直接决定,二者相等。
该特性区别于多层及螺旋扫描技术,故本题选B。
42、层厚等于探测器排宽度的是( )。
【答案】C【解析】在多层螺旋扫描中,层厚由所使用的探测器排的宽度决定,其实际层厚等于所选探测器排的物理宽度,因此层厚与探测器排宽度一致。
该特性区别于其他扫描方式,是多层螺旋CT的核心成像原理之一。
(43~44为共用题干)
某患者,男,40岁。上腹疼痛一年余,进食后可缓解,1小时前突发上腹部剧痛就诊,剑突下压痛、反跳痛。
43、应首先考虑( )。
A、消化道出血B、胃溃疡恶变
C、消化道穿孔
D、胃扭转
E、胃平滑肌肉瘤
【答案】C
【解析】患者有长期上腹痛病史,进食后缓解,提示消化性溃疡可能;
突发上腹部剧痛,伴剑突下压痛、反跳痛,出现腹膜刺激征,应首先考虑消化道穿孔。
44、首选检查为( )。
A、腹部立位腹平片B、腹部俯卧后前位
C、腹部站立侧位
D、核磁共振
E、胃镜
【答案】A
【解析】患者有长期上腹痛史,进食后缓解,提示可能存在消化性溃疡,突发剧痛伴剑突下压痛、反跳痛,高度怀疑胃或十二指肠穿孔。
首选腹部立位腹平片,观察是否出现膈下游离气体,为诊断穿孔的典型X线征象。
(45~46为共用备选答案)
A、简易遮线器B、多层遮线器
C、手动遮线器
D、圆形滤线器
E、电动遮线器
45、数字胃肠机、心血管专用机使用的遮线器是( )。
【答案】D【解析】数字胃肠机和心血管专用机通常配备影像增强器,其输入屏为圆形结构。
常规矩形遮线器的照射野与圆形输入屏存在几何不匹配,导致周边区域产生无效辐射。
为实现射线束与接收器形态匹配,减少患者不必要的辐射剂量,此类设备采用由多片弧形铅板组成的圆形遮线器,形成与输入屏轮廓一致的圆形照射野,从而提高图像质量并优化辐射防护。
46、多用于透视装置的遮线器是( )。
【答案】E【解析】电动遮线器多用于透视装置,因其具备遥控调节功能,可实现对照射野大小的精准控制,适配遥控检查床的操作需求。
其结构与手动遮线器相似,但驱动方式为小型直流电机,通过控制电机的运转方向和时间来调节铅板开合程度,并在极限位置设有限位开关,确保设备安全运行。
(47~49为共用备选答案)
A、肾脏B、膀胱
C、脾脏
D、直肠
E、阴道
47、子宫前邻是( )。
【答案】B【解析】骶管;2.子宫腔;3.直肠壶腹;4.子宫颈;5.直肠;6.阴道;7,耻骨联合;8.膀胱;9.腹壁
48、子宫后邻是( )。
【答案】D【解析】
1.骶管;2.子宫腔;3.直肠壶腹;4.子宫颈;5.直肠;6.阴道;7,耻骨联合;8.膀胱;9.腹壁
49、子宫下接是( )。
【答案】E【解析】子宫位于盆腔中央,下接阴道,上连输卵管,前邻膀胱,后邻直肠。
50、标准影像必须遵守的一般规则为( )。
A、影像质量最好B、照射野大小控制
C、使用低剂量,影像无噪声
D、使用最高剂量
E、诊断密度值应控制在0.25~2.0之间
【答案】B
【解析】X线标准影像需满足诊断要求,照射野控制适当是基本原则之一,避免不必要的辐射暴露,同时保证影像质量与解剖结构显示完整,符合放射防护与影像规范要求。
(51~52为共用备选答案)
A、0.2B、1
C、0.2~2.0
D、0.25~2.5
E、3
51、X线照片的最大密度是
【答案】E【解析】乳腺影像质量标准影像密度(D)1.0~3.0。因此X线照片的最大密度是3,故符合题干的选E。
52、照片适当的密度值范围是
【答案】C【解析】X线照片影像的密度值在0.2~2.0范围内时,影像对比度与层次最佳,符合诊断要求,且最适宜人眼视觉识别。
此范围可确保影像细节清晰显示,故为适宜密度区间。
(53~54为共用备选答案)
A、第1、2颈椎B、第5、6颈椎
C、第7、8颈椎
D、第1、2胸椎
E、第3、4胸椎
53、无椎间盘的是
【答案】A【解析】解析:第1、2颈椎间无椎间盘,因此正确答案为A。
54、颈膨大位于平面
【答案】B【解析】颈膨大位于第5、6颈椎平面。
因此,正确答案是B。
(55~59为共用备选答案)
A、胼胝体上方B、胼胝体压部
C、中脑
D、鞍上池
E、鼻咽
55、经半卵圆中心的层面经过
【答案】A【解析】经半卵圆中心的层面经过胼胝体上方。
56、经前连合层面上位居断面中央的是
【答案】C【解析】在经前连合的横断层面上,位于断面中央的结构是中脑。
57、经下颌颈层面上位居断面中央的是
【答案】E【解析】在经过下颌颈的横断层图像中,位居断面中央的结构是鼻咽。
58、经胼胝体压部层面上第三脑室后方是
【答案】B【解析】在经胼胝体压部的横断层面上,第三脑室呈纵行裂隙状,位于透明隔后方,其后方毗邻结构为胼胝体压部。
该层面中,胼胝体压部横跨于第三脑室背侧,是识别此断面的重要解剖标志。
59、经视交叉层面的断层中部是
【答案】D【解析】在经视交叉的横断层中居于中部的是鞍上池。该层次上,鞍上池呈现五角形状,由交叉池和桥池构成,内含视交叉、垂体柄、鞍背、基底动脉末端以及动眼神经等重要结构。
(60~62为共用备选答案)
A、右肺尖段B、下肺静脉
C、右肺后段
D、左肺尖后段
E、支气管静脉
60、在主动脉弓层面,靠近肺纵隔面的肺段是
【答案】A【解析】经主动脉弓层面 此层面通过第4胸椎椎体下部,恰经过主动脉弓。

61、在横断层面上,出现于主动脉弓以上层面的肺段是
【答案】D【解析】经胸肋结合上缘层面 该层面通过第4胸椎椎体。

胸膜肺区:胸壁前外侧有胸大肌和胸小肌。两侧胸膜肺区内为肺的断面。右肺断面内侧主要是尖段。左肺断面的后部为尖后段。
62、在肺门横断面上,最下部的结构是
【答案】B【解析】左、右下肺静脉汇入左心房,提示两肺门已至下界。

(63~64为共用题干)
患者,男,44岁。腰痛1个月,左小腿外侧感觉减退3天。拟行腰椎CT检查以确诊。
63、临床可能怀疑的疾病是
A、腰椎间盘突出B、腰椎结核
C、腰椎骨折
D、腰肌劳损
E、强直性脊柱炎
【答案】A
【解析】临床可能怀疑的疾病是A:腰椎间盘突出。
腰椎间盘突出常见于腰4~5椎间盘和腰5~骶1椎间盘,主要表现为神经根和脊髓受压症状,变现症状为腰痛和左侧下肢感觉减退。
通过腰椎CT检查可以确诊此病。
64、设置椎间盘的扫描层厚与间距时,可选用
A、0.7~1mmB、1~3mm
C、5~7mm
D、7~9mm
E、8~10mm
【答案】B
【解析】腰椎椎间盘CT扫描需清晰显示神经根及椎间盘结构,常规采用3mm层厚与3mm重建间距,覆盖L2-3至L5~S1椎间盘。
该参数可平衡空间分辨率与图像噪声,满足诊断需求。
故选用1~3mm层厚范围为宜。
(65~68为共用备选答案)
A、基底动脉B、视交叉
C、颈内动脉
D、旁小叶
E、颞叶
65、可见五角形的鞍上池的断层可能是经____的层面
【答案】B【解析】经视交叉的横断层是识别鞍上池的关键层面。
在这一层面,五角形的鞍上池由交叉池和桥池组成,其中包含视交叉、垂体柄、鞍背、基底动脉末端及动眼神经等结构。
同时,该断层还能清晰显示颞叶的位置,以及与额叶间的分界(由蝶骨小翼和外侧沟构成),并能观察到杏仁体、小脑中脚、小脑幕等结构。
因此,正确答案为B:视交叉。
66、鞍上池内有的结构是
【答案】B【解析】鞍上池内包含的结构主要是视交叉(选项B)。
在经过视交叉的横断层图像中,可以看到五角形的鞍上池,它由交叉池和桥池组成。
池内除了视交叉外,还包括垂体柄、鞍背、基底动脉的末端以及动眼神经。
因此,正确答案是B:视交叉。
67、视交叉两侧为
【答案】C【解析】在经过视交叉的横断层中,视交叉两侧被颈内动脉占据。
这一结构在头部解剖学中具有重要意义,有助于理解大脑内部的复杂连接和组织。
通过观察这一层面,可以清晰地识别出包括颈内动脉在内的关键血管结构,以及与之相邻的颞叶和额叶等重要脑区。
这些信息对于理解大脑的血供系统、视觉通路以及相关脑区的功能定位都至关重要。
68、鞍上池两侧可见
【答案】E【解析】这道题目主要考核的是解剖学知识,具体是关于颅脑结构的识别。
在颅脑的横断面图像中,鞍上池位于大脑半球下方、鞍膈之上,连接侧裂池和环池。
两侧的鞍上池与大脑半球的结构紧密相邻。
因此,选项“E:颞叶”是正确答案。
解析:在颅脑结构中,颞叶位于大脑半球的外侧面,靠近耳朵的部分。
在鞍上池的横断面图像中,可以清晰地看到其位置。
其他选项中,A项“基底动脉”通常在脑干区域;
B项“视交叉”位于第三脑室底部;
C项“颈内动脉”是供应大脑前部的重要血管;
D项“旁小叶”并非一个明确的解剖结构名称。
因此,根据题目描述和选项,正确的答案是E:颞叶。

